Promotional price valid on web orders only. Your contract pricing may differ. Interested in signing up for a dedicated account number?
Learn More
Learn More
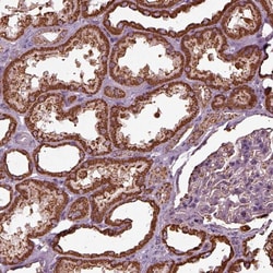
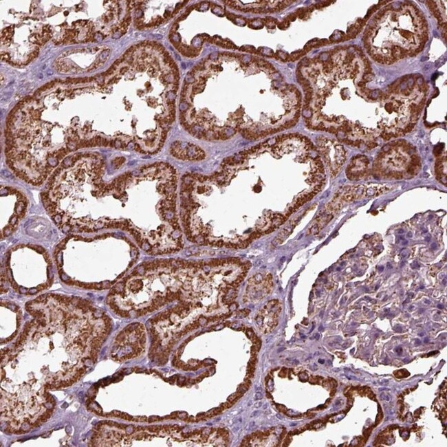
Invitrogen™ TMEM254 Polyclonal Antibody

Rabbit Polyclonal Antibody
Supplier: Invitrogen™ PA584903
Description
Immunogen sequence: FWPQSIPYQN LGPLGPFTQY LVDHHHTL.
TMEM254 is a protein coding gene. Gene Ontology (GO) annotations related to this gene include integral component of membrane.
Specifications
TMEM254 | |
Polyclonal | |
Unconjugated | |
TMEM254 | |
0610008K04Rik; 0610010A22Rik; AA960404; bA369J21.6; C10orf57; D14Ertd449e; Tmem254; Tmem254a; Tmem254b; Tmem254c; tranmembrane protein 254a; transmembrane protein 254; transmembrane protein 254a; Transmembrane protein 254b; Transmembrane protein 254c; transmembrane protein C10orf57; transmembrane protein C10orf57 homolog | |
Rabbit | |
Antigen Affinity Chromatography | |
RUO | |
80195 | |
Store at 4°C short term. For long term storage, store at -20°C, avoiding freeze/thaw cycles. | |
Liquid |
Immunohistochemistry (Paraffin) | |
0.1 mg/mL | |
PBS with 40% glycerol and 0.02% sodium azide; pH 7.2 | |
Q8TBM7 | |
TMEM254 | |
Recombinant protein corresponding to Human TMEM254. Recombinant protein control fragment (Product #RP-108600). | |
100 μL | |
Primary | |
Human | |
Antibody | |
IgG |
Product Content Correction
Your input is important to us. Please complete this form to provide feedback related to the content on this product.
Product Title
Spot an opportunity for improvement?Share a Content Correction