Promotional price valid on web orders only. Your contract pricing may differ. Interested in signing up for a dedicated account number?
Learn More
Learn More
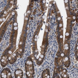
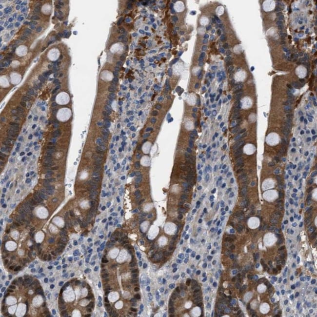
Invitrogen™ TMEM45B Polyclonal Antibody

Rabbit Polyclonal Antibody
Supplier: Invitrogen™ PA553394
Description
Immunogen sequence: EQFVPDGPHL HLYHENHWIK LMNWQ Highest antigen sequence identity to the following orthologs: Mouse - 92%, Rat - 92%.

Specifications
TMEM45B | |
Polyclonal | |
Unconjugated | |
TMEM45B | |
TMEM45B; Transmembrane protein 45B | |
Rabbit | |
Antigen Affinity Chromatography | |
RUO | |
120224 | |
Store at 4°C short term. For long term storage, store at -20°C, avoiding freeze/thaw cycles. | |
Liquid |
Immunohistochemistry (Paraffin) | |
0.1 mg/mL | |
PBS with 40% glycerol and 0.02% sodium azide; pH 7.2 | |
Q96B21 | |
TMEM45B | |
Recombinant protein corresponding to Human TMEM45B. | |
100 μL | |
Primary | |
Human | |
Antibody | |
IgG |
Product Content Correction
Your input is important to us. Please complete this form to provide feedback related to the content on this product.
Product Title
Spot an opportunity for improvement?Share a Content Correction