Promotional price valid on web orders only. Your contract pricing may differ. Interested in signing up for a dedicated account number?
Learn More
Learn More
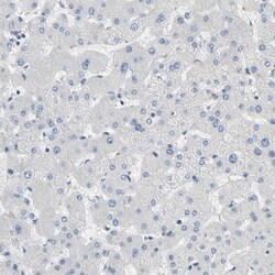
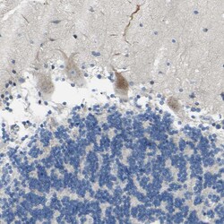
Invitrogen™ TMEM59L Polyclonal Antibody

Rabbit Polyclonal Antibody
Supplier: Invitrogen™ PA552724
Description
Immunogen sequence: SLLDLFSTLC NDLVNSAQGF VSSTWTYYLQ TDNGKVVVFQ TQPIVESLGF QGGRLQRVEV TWRGSHPEAL EVHVDPVGPL DKVRKAKIRV KTSSKAKVES EEPQDNDFLS CMSR Highest antigen sequence identity to the following orthologs: Mouse - 76%, Rat - 73%.
This gene encodes a predicted type-I membrane glycoprotein. The encoded protein may play a role in functioning of the central nervous system.
Specifications
TMEM59L | |
Polyclonal | |
Unconjugated | |
TMEM59L | |
5330410G16Rik; brain-specific membrane-anchored protein; BSMAP; C19orf4; RGD1305557; Tmem59l; transmembrane protein 59 like; transmembrane protein 59-like | |
Rabbit | |
Antigen Affinity Chromatography | |
RUO | |
25789 | |
Store at 4°C short term. For long term storage, store at -20°C, avoiding freeze/thaw cycles. | |
Liquid |
Immunohistochemistry (Paraffin) | |
0.1 mg/mL | |
PBS with 40% glycerol and 0.02% sodium azide; pH 7.2 | |
Q9UK28 | |
TMEM59L | |
Recombinant protein corresponding to Human TMEM59L. Recombinant protein control fragment (Product #RP-90060). | |
100 μL | |
Primary | |
Human | |
Antibody | |
IgG |
Safety and Handling
WARNING: Cancer - www.P65Warnings.ca.gov
Product Content Correction
Your input is important to us. Please complete this form to provide feedback related to the content on this product.
Product Title
Spot an opportunity for improvement?Share a Content Correction