Promotional price valid on web orders only. Your contract pricing may differ. Interested in signing up for a dedicated account number?
Learn More
Learn More
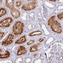
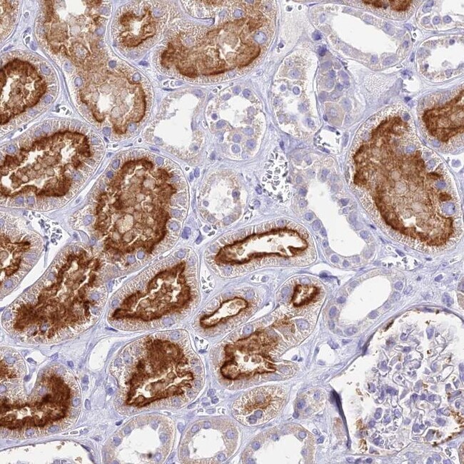
Invitrogen™ TMEM78 Polyclonal Antibody

Rabbit Polyclonal Antibody
Supplier: Invitrogen™ PA583603
Description
Immunogen sequence: RNLGIVISCW KGVCVPQTTT LEMFYNDNDR VEESSNSYQI RRE.
TMEM78 is a protein coding gene. Gene ontology (GO) annotation include integral component of membrane.
Specifications
TMEM78 | |
Polyclonal | |
Unconjugated | |
TMEM78 | |
FLJ40168; TMEM78; transmembrane protein 78 | |
Rabbit | |
Antigen affinity chromatography | |
RUO | |
677790 | |
Store at 4°C short term. For long term storage, store at -20°C, avoiding freeze/thaw cycles. | |
Liquid |
Immunohistochemistry (Paraffin) | |
0.7 mg/mL | |
PBS with 40% glycerol and 0.02% sodium azide; pH 7.2 | |
Q5T7P6 | |
TMEM78 | |
Recombinant protein corresponding to Human TMEM78. Recombinant protein control fragment (Product #RP-91036). | |
100 μL | |
Primary | |
Human | |
Antibody | |
IgG |
Product Content Correction
Your input is important to us. Please complete this form to provide feedback related to the content on this product.
Product Title
Spot an opportunity for improvement?Share a Content Correction