Promotional price valid on web orders only. Your contract pricing may differ. Interested in signing up for a dedicated account number?
Learn More
Learn More
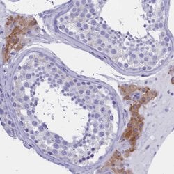
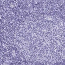
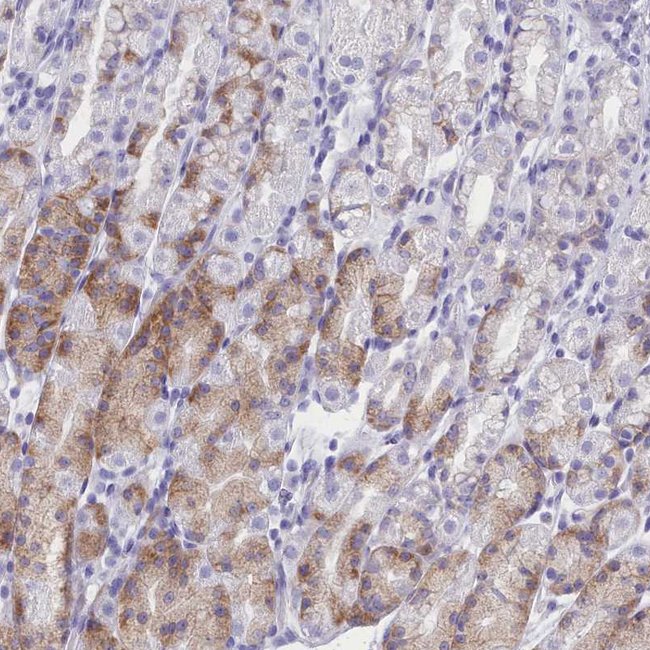
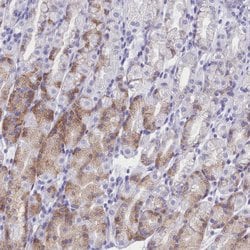
Invitrogen™ TMEM97 Polyclonal Antibody

Rabbit Polyclonal Antibody
Supplier: Invitrogen™ PA560829
Description
Immunogen sequence: FEDFSKASGF KGQRPETLHE RLT Highest antigen sequence identity to the following orthologs: Mouse - 78%, Rat - 78%.
TMEM97, or MAC30, is a conserved transmembrane protein that helps regulate cellular cholesterol levels through colocalization with NPC1. TMEM97 has also been linked to several cancers including breast, pancreatic, colorectal and ovarian cancers.
Specifications
| TMEM97 | |
| Polyclonal | |
| Unconjugated | |
| TMEM97 | |
| 1810014L12Rik; AI115531; AL022956; D11Bhm182e; MAC30; meningioma-associated protein 30; S2R; Sigma intracellular receptor 2; Sigma-2 receptor; Tmem97; Transmembrane protein 97 | |
| Rabbit | |
| Antigen affinity chromatography | |
| RUO | |
| 27346 | |
| Store at 4°C short term. For long term storage, store at -20°C, avoiding freeze/thaw cycles. | |
| Liquid |
| Immunohistochemistry (Paraffin), Western Blot | |
| 0.1 mg/mL | |
| PBS with 40% glycerol and 0.02% sodium azide; pH 7.2 | |
| Q5BJF2 | |
| TMEM97 | |
| Recombinant protein corresponding to Human TMEM97. Recombinant protein control fragment (Product #RP-100107). | |
| 100 μL | |
| Primary | |
| Human | |
| Antibody | |
| IgG |
Product Content Correction
Your input is important to us. Please complete this form to provide feedback related to the content on this product.
Product Title
Spot an opportunity for improvement?Share a Content Correction