Promotional price valid on web orders only. Your contract pricing may differ. Interested in signing up for a dedicated account number?
Learn More
Learn More
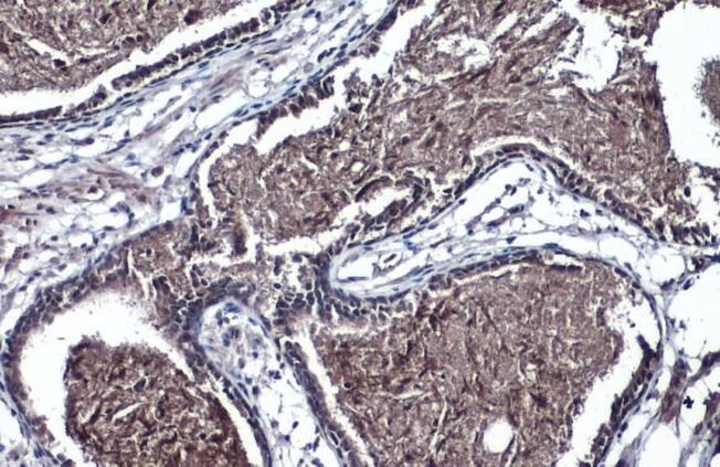
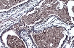
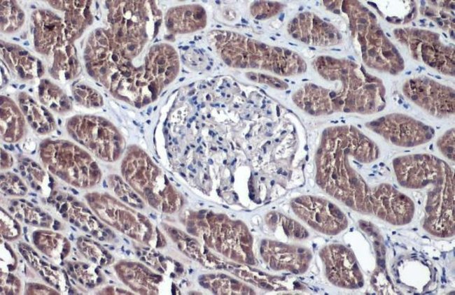
Invitrogen™ TMPRSS2 Polyclonal Antibody

Rabbit Polyclonal Antibody
Supplier: Invitrogen™ PA5117279
Description
Centrifuge briefly prior to opening.
TMPRSS2 is a protein that belongs to the serine protease family. The protein contains a type II transmembrane domain, a receptor class A domain, a scavenger receptor cysteine-rich domain and a protease domain. Serine proteases are known to be involved in many physiological and pathological processes. Its gene was demonstrated to be up-regulated by androgenic hormones in prostate cancer cells and down-regulated in androgen-independent prostate cancer tissue. The protease domain of this protein is thought to be cleaved and secreted into cell media after autocleavage.
Specifications
| TMPRSS2 | |
| Polyclonal | |
| Unconjugated | |
| TMPRSS2 | |
| D16Ertd61e; EC 3.4.219; epitheliasin; FLJ41954; MGC6821; Plasmic transmembrane protein X; PP9284; PRSS10; Serine protease 10; Tmprss2; TMPS2; Transmembrane protease serine 2; Transmembrane protease serine 2 catalytic chain; Transmembrane protease serine 2 non-catalytic chain; transmembrane protease, serine 2 | |
| Rabbit | |
| Antigen affinity chromatography | |
| RUO | |
| 7113 | |
| Store at 4°C short term. For long term storage, store at -20°C, avoiding freeze/thaw cycles. | |
| Liquid |
| Immunohistochemistry (Paraffin), Western Blot, Immunocytochemistry | |
| 1.01 mg/mL | |
| PBS with ; pH 7 | |
| O15393 | |
| TMPRSS2 | |
| Recombinant protein encompassing a sequence within the Extracellular domain of human TMPRSS2. The exact sequence is proprietary. | |
| 100 μL | |
| Primary | |
| Human | |
| Antibody | |
| IgG |
Safety and Handling
WARNING: Cancer - www.P65Warnings.ca.gov
Product Content Correction
Your input is important to us. Please complete this form to provide feedback related to the content on this product.
Product Title
Spot an opportunity for improvement?Share a Content Correction