Promotional price valid on web orders only. Your contract pricing may differ. Interested in signing up for a dedicated account number?
Learn More
Learn More
Invitrogen™ TNIP1 Polyclonal Antibody

Rabbit Polyclonal Antibody
Supplier: Invitrogen™ PA5112919
Description
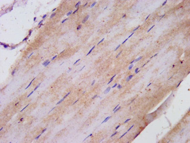
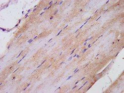
TNIP1 Polyclonal Antibody for Western Blot, ICC/IF, IHC (P), ELISA
Grasp65 is a structural protein of the golgi apparatus. It has been implicated in the stacking of golgi cisternae. Grasp65 is shown to have the properties to bind surfaces together in a mitotically regulated matter.
Specifications
| TNIP1 | |
| Polyclonal | |
| Unconjugated | |
| TNIP1 | |
| A20-binding inhibitor of NF-kappa B activation; A20-binding inhibitor of NF-kappa-B activation 1; ABIN; ABIN1; ABIN-1; AU018810; HIV-1 Nef-interacting protein; KIAA0113; Naf1; Nef; Nef-associated factor 1; Nef-associated factor 1 SNP; nip40-1; TNFAIP3 interacting protein 1; TNFAIP3-interacting protein 1; Tnip1; VAN; Virion-associated nuclear shuttling protein | |
| Rabbit | |
| Protein G | |
| RUO | |
| 10318, 363599 | |
| -20°C or -80°C if preferred | |
| Liquid |
| ELISA, Immunohistochemistry (Paraffin), Western Blot, Immunocytochemistry | |
| 3.59 mg/mL | |
| PBS with 50% glycerol and 0.03% ProClin 300; pH 7.4 | |
| Q15025 | |
| TNIP1 | |
| Recombinant Human TNFAIP3-interacting protein 1 protein (526-636AA). | |
| 100 μg | |
| Primary | |
| Human, Rat | |
| Antibody | |
| IgG |
Safety and Handling
WARNING: Cancer - www.P65Warnings.ca.gov
Product Content Correction
Your input is important to us. Please complete this form to provide feedback related to the content on this product.
Product Title
Spot an opportunity for improvement?Share a Content Correction