Learn More
Invitrogen™ TNN Polyclonal Antibody

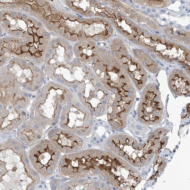
Description
Immunogen sequence: GTKYIVTLRN VKNEVSSSPQ HLLATTDLAV LGTAWVTDET ENSLDVEWEN PSTEVDYYKL RYGPMTGQEV AEVTVPKSSD PKSRYDITGL HPGTEYKITV V Highest antigen sequence identity to the following orthologs: Mouse - 88%, Rat - 88%.
Specifications
Specifications
| Antigen | TNN |
| Applications | Immunohistochemistry (Paraffin) |
| Classification | Polyclonal |
| Concentration | 0.1 mg/mL |
| Conjugate | Unconjugated |
| Formulation | PBS with 40% glycerol and 0.02% sodium azide; pH 7.2 |
| Gene | TNN |
| Gene Accession No. | Q9UQP3 |
| Gene Alias | tenascin N; tenascin-N; Tenascin-W; tenasin W; TNN; TN-N; Tnw; TN-W |
| Gene Symbols | TNN |
| Show More |
By clicking Submit, you acknowledge that you may be contacted by Fisher Scientific in regards to the feedback you have provided in this form. We will not share your information for any other purposes. All contact information provided shall also be maintained in accordance with our Privacy Policy.