Promotional price valid on web orders only. Your contract pricing may differ. Interested in signing up for a dedicated account number?
Learn More
Learn More
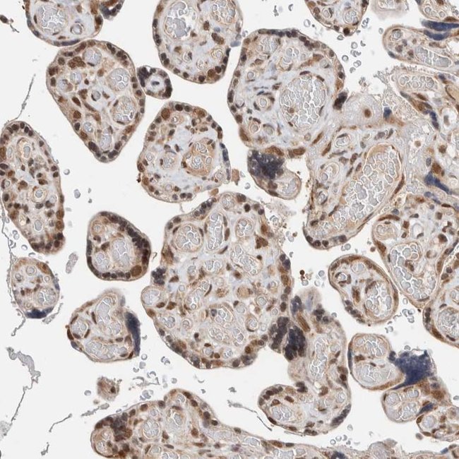
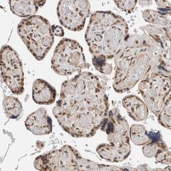
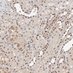
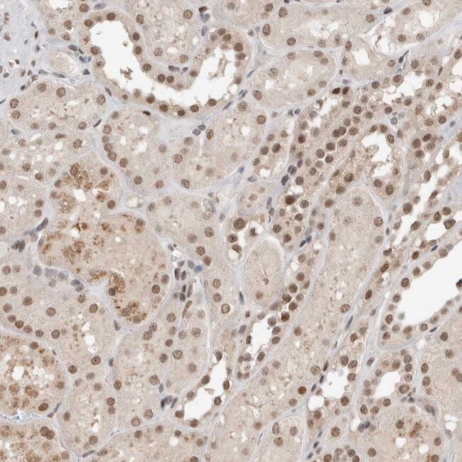
Invitrogen™ TNRC18 Polyclonal Antibody

Rabbit Polyclonal Antibody
Supplier: Invitrogen™ PA555027
Description
Immunogen sequence: REGKHKRAAK TRKMEVGFKA RGQPKSAHSP FASEVSSYSY NTDSEEDEEF LKDEWPAQGP SSSKLTPSLL CSMVAKNSKA AGGPKLTKRG LAAPRTLKPK PATSRKQPFC LLLREAEARS SFSDSSEESF DQDE Highest antigen sequence identity to the following orthologs: Mouse - 84%, Rat - 81%.

Specifications
TNRC18 | |
Polyclonal | |
Unconjugated | |
TNRC18 | |
CAGL79; KIAA1856; Long CAG trinucleotide repeat-containing gene 79 protein; TNRC18; TNRC18A; trinucleotide repeat containing 18; trinucleotide repeat-containing gene 18 protein | |
Rabbit | |
Antigen affinity chromatography | |
RUO | |
84629 | |
Store at 4°C short term. For long term storage, store at -20°C, avoiding freeze/thaw cycles. | |
Liquid |
Immunohistochemistry (Paraffin), Immunocytochemistry | |
0.7 mg/mL | |
PBS with 40% glycerol and 0.02% sodium azide; pH 7.2 | |
O15417 | |
TNRC18 | |
Recombinant protein corresponding to Human TNRC18. Recombinant protein control fragment (Product #RP-92819). | |
100 μL | |
Primary | |
Human | |
Antibody | |
IgG |
Safety and Handling
WARNING: Cancer - www.P65Warnings.ca.gov
Product Content Correction
Your input is important to us. Please complete this form to provide feedback related to the content on this product.
Product Title
Spot an opportunity for improvement?Share a Content Correction