Learn More
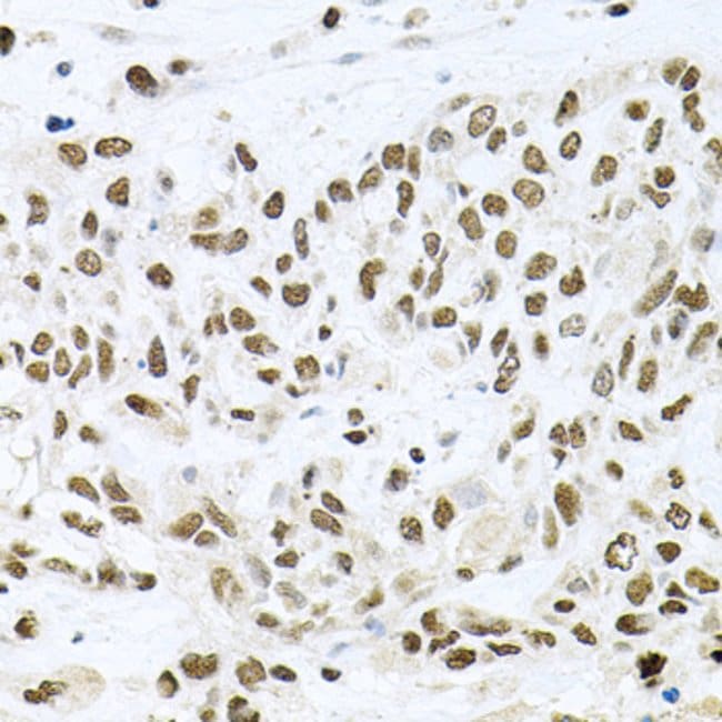
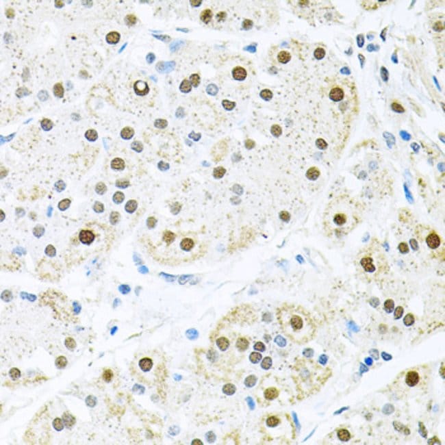
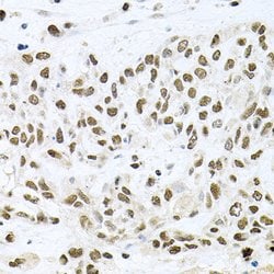
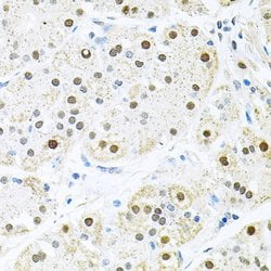
Invitrogen™ BCCIP Polyclonal Antibody

Description
The antibody was affinity-purified from rabbit antiserum by affinity-chromatography using epitope-specific immunogen and the purity is > 95% (by SDS-PAGE).
Specifications
Specifications
| Antigen | BCCIP |
| Applications | Immunohistochemistry (Paraffin), Western Blot |
| Classification | Polyclonal |
| Concentration | 1 mg/mL |
| Conjugate | Unconjugated |
| Formulation | PBS with 50% glycerol and 0.02% sodium azide; pH 7.2 |
| Gene | BCCIP |
| Gene Accession No. | Q9CWI3, Q9P287 |
| Gene Alias | 1110013J05Rik; Bccip; BCCIPalpha; BCCIPbeta; BRCA2 and CDKN1A interacting protein; BRCA2 and CDKN1A-interacting protein; BRCA2 and Cip1/p21 interacting protein; cdk inhibitor p21 binding protein; p21- and CDK-associated protein 1; Protein TOK-1; TOK1; TOK-1; TOK-1alpha; TOK-1beta |
| Gene Symbols | BCCIP |
| Show More |
By clicking Submit, you acknowledge that you may be contacted by Fisher Scientific in regards to the feedback you have provided in this form. We will not share your information for any other purposes. All contact information provided shall also be maintained in accordance with our Privacy Policy.