Learn More
TOMM22 Rabbit anti-Human, Mouse, Rat, Clone: 6R1L7, Novus Biologicals™
Shop All R&D Systems Products

Description
Specifications
Specifications
| Antigen | TOMM22 |
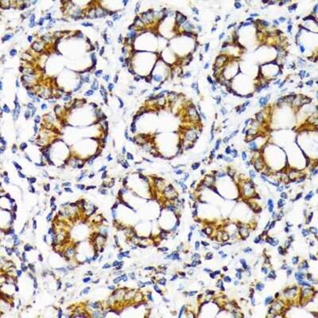
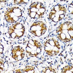
| Applications | Western Blot, Immunohistochemistry, Immunohistochemistry (Paraffin) |
| Classification | Monoclonal |
| Clone | 6R1L7 |
| Conjugate | Unconjugated |
| Dilution | Western Blot, Immunohistochemistry 1:50 - 1:200, Immunohistochemistry-Paraffin |
| Formulation | PBS, 0.05% BSA, 50% glycerol, pH7.3 |
| Gene Alias | 1C9-2, hTom22, mitochondrial import receptor subunit TOM22 homolog, mitochondrial import receptor Tom22, MST065, TOM22MSTP065, Translocase of outer membrane 22 kDa subunit homolog, translocase of outer mitochondrial membrane 22 homolog (yeast) |
| Host Species | Rabbit |
| Immunogen | A synthetic peptide corresponding to a sequence within amino acids 1-100 of human TOMM22 (Q9NS69). |
| Show More |
By clicking Submit, you acknowledge that you may be contacted by Fisher Scientific in regards to the feedback you have provided in this form. We will not share your information for any other purposes. All contact information provided shall also be maintained in accordance with our Privacy Policy.