Promotional price valid on web orders only. Your contract pricing may differ. Interested in signing up for a dedicated account number?
Learn More
Learn More
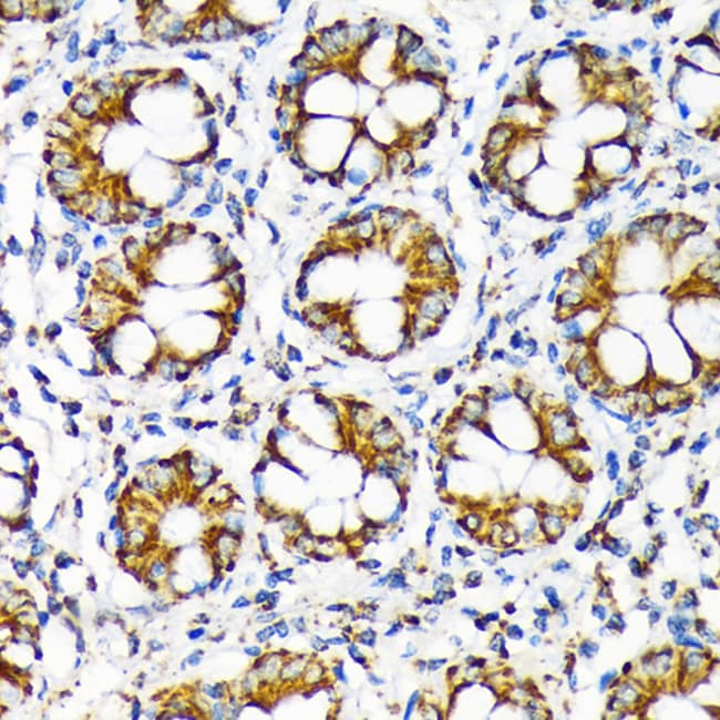
Invitrogen™ TOMM22 Recombinant Rabbit Monoclonal Antibody (6R1L7)

Rabbit Recombinant Monoclonal Antibody
Supplier: Invitrogen™ MA538197
Description
Positive Samples: HeLa, HepG2, K-562, Mouse brain, Mouse spleen, Rat lung, Rat brain Immunogen sequence: MAAAVAAAGA GEPQSPDELL PKGDAEKPEE ELEEDDDEEL DETLSERLWG LTEMFPERVR SAAGATFDLS LFVAQKMYRF SRAALWIGTT SFMILVLPVV.
Tom22 has a negatively charged N-terminal region exposed to the cytosol, a putative transmembrane region, and a C-terminal intermembrane space region with little negative charge. The following functions can be assigned to the three domains of Tom22: the cytosolic N-terminal domain plays a dual role, specifically important for presequence binding; the intermembrane space domain provides a trans binding site for presequences, and the single membrane anchor of Tom22 is crucial for the integrity of the GIP (general import gene) complex. The TOM complex of mammalian mitochondria resembles the fungal Tom complex, but is distinct from the plant TOM system. Thus, while unique components of the mammalian mitochondrial import system have been identified (e. g. TOM34 and metaxin), Tom22, and Tom37 have not been identified in plant mitochondria.
Specifications
TOMM22 | |
Recombinant Monoclonal | |
0.5 mg/mL | |
PBS with 0.05% BSA, 50% glycerol and 0.02% sodium azide; pH 7.3 | |
Q75Q41, Q9CPQ3, Q9NS69 | |
Tomm22 | |
A synthetic peptide corresponding to a sequence within amino acids 1-100 of human TOMM22 (Q9NS69). | |
100 μL | |
Primary | |
Human, Mouse, Rat | |
Antibody | |
IgG |
ELISA, Immunohistochemistry (Paraffin), Immunoprecipitation, Western Blot | |
6R1L7 | |
Unconjugated | |
Tomm22 | |
1C9-2; 2310047D01; hTom22; Mitochondrial import receptor subunit TOM22 homolog; mitochondrial import receptor Tom22; MST065; MSTP065; rTOM22; Tom22; Tomm22; Translocase of outer membrane 22 kDa subunit homolog; translocase of outer mitochondrial membrane 22; translocase of outer mitochondrial membrane 22 homolog; translocase of outer mitochondrial membrane 22 homolog (yeast) | |
Rabbit | |
Affinity chromatography | |
RUO | |
223696, 300075, 56993 | |
-20°C, Avoid Freeze/Thaw Cycles | |
Liquid |
Product Content Correction
Your input is important to us. Please complete this form to provide feedback related to the content on this product.
Product Title
Spot an opportunity for improvement?Share a Content Correction