Promotional price valid on web orders only. Your contract pricing may differ. Interested in signing up for a dedicated account number?
Learn More
Learn More
Invitrogen™ TOR2A Polyclonal Antibody
Rabbit Polyclonal Antibody
Supplier: Invitrogen™ PA5119470
This item is not returnable.
View return policy
Description
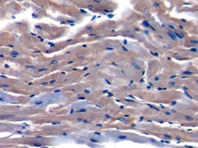
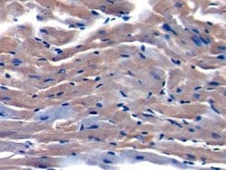
TOR2A Polyclonal Antibody for Western Blot, ICC/IF, IHC (P)
Salusins are multifunctional bioactive peptides discovered by bioinformatics analyses of a full-length cDNA library. Salusin alpha and salusin beta are related peptides of 28 and 20 amino acids that were recently characterized. These peptides are considered to be biosynthesized from preprosalusin, an alternative-splicing product of the torsion dystonia-related gene (TOR2A), after frameshift reading and digestion at dibasic amino acids. Salusin alpha has recently been shown to be involved in atherosclerosis; it potently suppresses acyl-CoA:cholesterol acyltransferase-1 which stores cholesterol ester converted from free cholesterol in macrophages, thereby reducing human macrophage foam cell formation.
Specifications
TOR2A | |
Polyclonal | |
Unconjugated | |
TOR2A | |
HEMBA1005096; Prosalusin; PSEC0218; Salusin-alpha; Salusin-beta; TOR2A; TORP1; Torsin family 2 member A; torsin family 2, member A; torsin-2A; Torsin-related protein 1; UNQ6408/PRO21181 | |
Rabbit | |
Antigen affinity chromatography, Protein A | |
RUO | |
27433, 30933 | |
Store at 4°C short term. For long term storage, store at -20°C, avoiding freeze/thaw cycles. | |
Liquid |
Immunohistochemistry (Paraffin), Western Blot, Immunocytochemistry | |
0.5 mg/mL | |
PBS with 50% glycerol and 0.05% ProClin 300; pH 7.4 | |
Q5JU69, Q8R1J9 | |
TOR2A | |
Recombinant protein Torsin 2A. The antigen corresponds to amino acid range 125-313 of the target protein. | |
200 μL | |
Primary | |
Human, Mouse | |
Antibody | |
IgG |
Product Content Correction
Your input is important to us. Please complete this form to provide feedback related to the content on this product.
Product Title
Spot an opportunity for improvement?Share a Content Correction