Promotional price valid on web orders only. Your contract pricing may differ. Interested in signing up for a dedicated account number?
Learn More

TORC1 Rabbit anti-Human, Mouse, Polyclonal, Bethyl Laboratories

Rabbit Polyclonal Antibody

Supplier:  Bethyl Laboratories, Inc A300769A

Encompass_Preferred

Catalog No. 50-155-8399


May include imposed supplier surcharges.
Only null left
Add to Cart

Description

Description

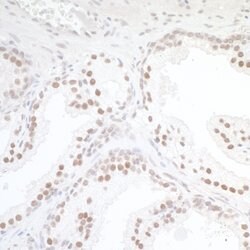
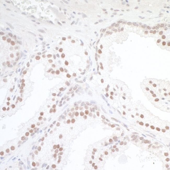
The recommended shelf life for this product is 1 year from date of receipt. Application Note: For IHC, epitope retrieval with Tris-EDTA pH 9.0 is recommended for FFPE tissue sections. Based on 100% sequence identity, this antibody is predicted to react with Rat

Transcriptional coactivator for CREB1 which activates transcription through both consensus and variant cAMP response element (CRE) sites.Acts as a coactivator, in the SIK/TORC signaling pathway,being active when dephosphorylated and acts independently of CREB1 ′Ser-133′ phosphorylation.Enhances the interaction of CREB1 with TAF4.Regulates the expression of specific CREB-activated genes such as the steroidogenic gene,StAR.Potent coactivator of PGC1alpha and inducer of mitochondrial biogenesis in muscle cells.Also coactivator for TAX activation of the human T-cell leukemia virus type 1 (HTLV-1) long terminal repeats (LTR).In the hippocampus, involved in late-phase long-term potentiation (L-LTP) maintece at the Schaffer collateral-CA1 synapses.May be required for dendritic growth of developing cortical neurons.
Specifications

Specifications

TORC1
Polyclonal
Unconjugated
CRTC1
CREB-regulated transcription coactivator 1; TORC-1; mucoepidermoid carcinoma translocated 1; mucoepidermoid carcinoma translocated protein 1; transducer of CREB protein 1; transducer of regulated cAMP response element-binding protein (CREB) 1; transducer of regulated cAMP response element-binding protein 1
Rabbit
Antigen affinity chromatography
RUO
23373, 382056
4° C
Liquid
Immunohistochemistry, Immunoprecipitation, Western Blot
0.2 mg/ml
TBS with 0.1% BSA and 0.09% sodium azide
Q68ED7, Q6UUV9
Crtc1
Between 600 and C-term
100 μL
Primary
Human, Mouse
Antibody
IgG
Product Suggestions

Product Suggestions

Videos
SDS
Documents

Documents

Product Certifications
Promotions

Promotions

Product Content Correction

The Fisher Scientific Encompass Program offers items which are not part of our distribution portfolio. These products typically do not have pictures or detailed descriptions. However, we are committed to improving your shopping experience. Please use the form below to provide feedback related to the content on this product.

Product Title

By clicking Submit, you acknowledge that you may be contacted by Fisher Scientific in regards to the feedback you have provided in this form. We will not share your information for any other purposes. All contact information provided shall also be maintained in accordance with our Privacy Policy.

Your feedback has been submitted: Thank you for helping us improve our website.