Promotional price valid on web orders only. Your contract pricing may differ. Interested in signing up for a dedicated account number?
Learn More
Learn More
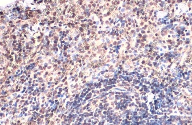
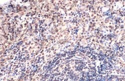
Invitrogen™ TOX Polyclonal Antibody

Rabbit Polyclonal Antibody
Supplier: Invitrogen™ PA530328
Description
Recommended positive controls: THP-1, HL-60. Predicted reactivity: Mouse (89%), Rat (91%), Rhesus Monkey (99%), Bovine (94%). Store product as a concentrated solution. Centrifuge briefly prior to opening the vial.
TOX (thymocyte selection-associated high mobility group (HMG) box protein) is a member of the HMG box family of DNA-binding proteins and likely plays a role in the regulation of T-cell development. It is a 526 amino acid nuclear protein and the expression of TOX is upregulated by pre-T cell receptor (pre-TCR) and TCR activation in immature thymocytes. TOX-mediated positive selection is associated with up-regulation of RUNX3 and is calcineurin dependent. TOX-dependent transition to the CD4+CD8 stage is required for development of class II major histocompatibility complex-specific T cells.
Specifications
TOX | |
Polyclonal | |
Unconjugated | |
TOX | |
1700007F02Rik; KIAA0808; thymocyte selection associated high mobility group box; thymocyte selection-associated high mobility group box; thymocyte selection-associated high mobility group box protein TOX; thymocyte selection-associated HMG box; thymus high mobility group box protein TOX; TOX; TOX1 | |
Rabbit | |
Antigen affinity chromatography | |
RUO | |
252838, 9760 | |
Store at 4°C short term. For long term storage, store at -20°C, avoiding freeze/thaw cycles. | |
Liquid |
Immunohistochemistry (Paraffin), Western Blot | |
1.02 mg/mL | |
PBS with 20% glycerol and 0.025% ProClin 300; pH 7 | |
O94900, Q66JW3 | |
TOX | |
Recombinant protein encompassing a sequence within the center region of human TOX. The exact sequence is proprietary. | |
100 μL | |
Primary | |
Human, Mouse | |
Antibody | |
IgG |
Safety and Handling
WARNING: Cancer - www.P65Warnings.ca.gov
Product Content Correction
Your input is important to us. Please complete this form to provide feedback related to the content on this product.
Product Title
Spot an opportunity for improvement?Share a Content Correction