Promotional price valid on web orders only. Your contract pricing may differ. Interested in signing up for a dedicated account number?
Learn More
Learn More
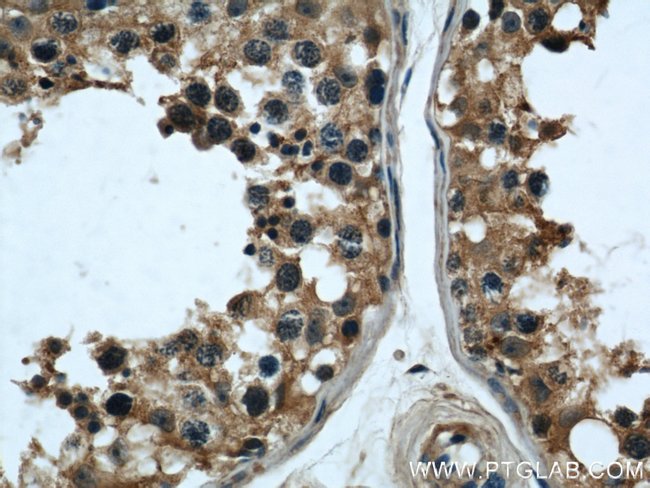
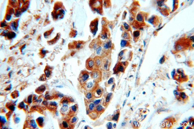
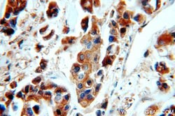
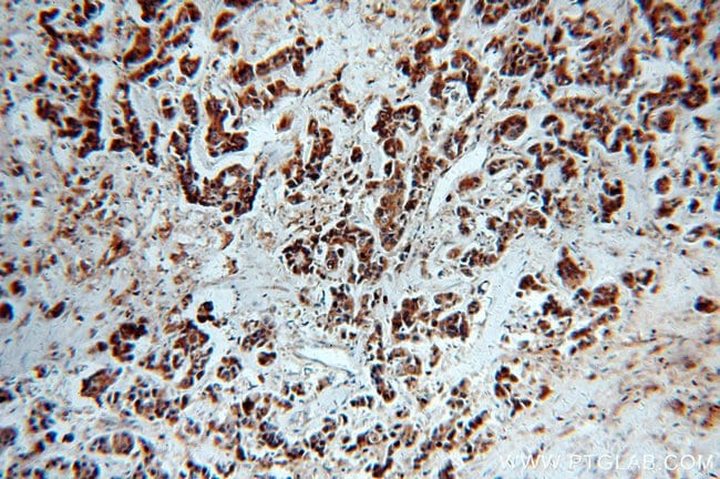
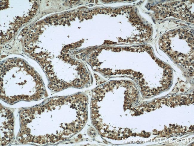
TPD52L2 Rabbit anti-Human, Mouse, Rat, Polyclonal, Proteintech

Rabbit Polyclonal Antibody
Supplier: Proteintech Group Inc 117951AP150UL

Description
EZH2 (Histone-lysine N-methyltransferase) is a member of the Polycomb-group (PcG) family. PcG family members form multimeric protein complexes, which are involved in maintaining the transcriptional repressive state of genes over successive cell generations. This protein associates with the embryonic ectoderm development protein, the VAV1 oncoprotein, and the X-linked nuclear protein. EZH2 may play a role in the hematopoietic and central nervous systems. Mutations affecting EZH2 can cause Weaver syndrome (WVS).Specifications
TPD52L2 | |
Polyclonal | |
Unconjugated | |
TPD52L2 | |
D54, hD54, TPD52L2, TPD54, tumor protein D52 like 2, Tumor protein D54 | |
Rabbit | |
Antigen Affinity Chromatography | |
RUO | |
296480, 66314, 7165 | |
-20°C | |
Liquid |
Immunocytochemistry, Immunofluorescence, Immunohistochemistry (Paraffin), Immunoprecipitation, Western Blot | |
0.45 mg/mL | |
PBS with 50% glycerol and 0.1% sodium azide; pH 7.3 | |
O43399, Q6PCT3, Q9CYZ2 | |
TPD52L2 | |
TPD52L2 Fusion Protein Ag2364 | |
150 μL | |
Primary | |
Human, Mouse, Rat | |
Antibody | |
IgG |
Product Content Correction
The Fisher Scientific Encompass Program offers items which are not part of our distribution portfolio. These products typically do not have pictures or detailed descriptions. However, we are committed to improving your shopping experience. Please use the form below to provide feedback related to the content on this product.
Product Title
Spot an opportunity for improvement?Share a Content Correction