Learn More
Invitrogen™ TPI1 Polyclonal Antibody

Rabbit Polyclonal Antibody
Supplier: Invitrogen™ PA521583
Description
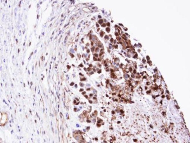
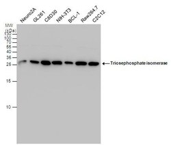
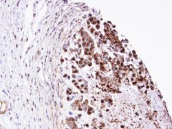
Recommended positive controls: 293T, A431, HeLa, HepG2, Neuro2A, GL261, C8D30, NIH-3T3, BCL-1, Raw264.7, C2C12, PC-12, Rat2. Predicted reactivity: Mouse (100%), Rat (100%), Dog (100%), Chimpanzee (100%), Bovine (100%). Store product as a concentrated solution. Centrifuge briefly prior to opening the vial.
This gene encodes an enzyme, consisting of two identical proteins, which catalyzes the isomerization of glyceraldehydes 3-phosphate and dihydroxy-acetone phosphate in glycolysis and gluconeogenesis. Mutations in this gene are associated with triosephosphate isomerase deficiency. Pseudogenes have been identified on chromosomes 1, 4, 6 and 7. Alternative splicing results in multiple transcript variants.
Specifications
| TPI1 | |
| Polyclonal | |
| Unconjugated | |
| Tpi1 | |
| AI255506; epididymis secretory protein Li 49; HEL-S-49; Methylglyoxal synthase; MGC88108; TIM; Tpi; TPI1; Tpi-1; TPID; triosephosphate isomerase; triose-phosphate isomerase; triosephosphate isomerase 1; triose-phosphate isomerase TPI1; unnamed protein product; YD9609.05C; YDR050C | |
| Rabbit | |
| Antigen affinity chromatography | |
| RUO | |
| 21991, 24849, 7167 | |
| Store at 4°C short term. For long term storage, store at -20°C, avoiding freeze/thaw cycles. | |
| Liquid |
| ELISA, Immunohistochemistry (Paraffin), Western Blot, Immunocytochemistry | |
| 0.27 mg/mL | |
| PBS with 1% BSA, 20% glycerol and 0.025% ProClin 300; pH 7 | |
| P17751, P48500, P60174 | |
| Tpi1 | |
| Synthetic peptide corresponding to a region within amino acids 187 and 249 of Triosephosphate isomerase (Uniprot ID#P60174). | |
| 100 μL | |
| Primary | |
| Human, Mouse, Rat | |
| Antibody | |
| IgG |
Your input is important to us. Please complete this form to provide feedback related to the content on this product.