Learn More
Invitrogen™ TPI1 Polyclonal Antibody

Rabbit Polyclonal Antibody
Supplier: Invitrogen™ PA590658
Description
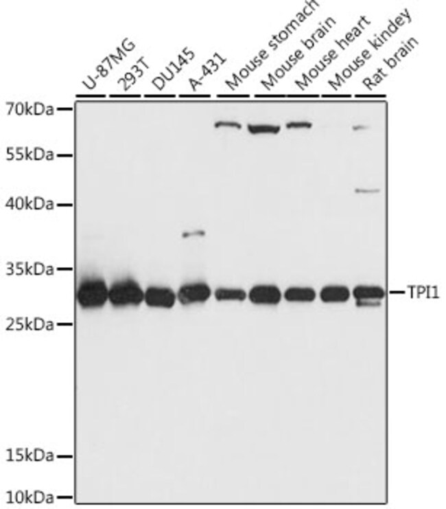
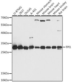
Immunogen sequence: MAPSRKFFVG GNWKMNGRKQ SLGELIGTLN AAKVPADTEV VCAPPTAYID FARQKLDPKI AVAAQNCYKV TNGAFTGEIS PGMIKDCGAT WVVLGHSERR HVFGESDELI GQKVAHALAE GLGVIACIGE KLDEREAGIT EKVVFEQTKV IADNVKDWSK VVLAYEPVWA IGTGKTATPQ QAQEVHEKLR GWLKSNVSDA VAQSTRIIYG GSVTGATCKE LASQPDVDGF LVGGASLKPE FVDIINAKQ; Positive Samples: U-87MG, 293T, DU145, A-431, Mouse stomach, Mouse brain, Mouse heart, Mouse kidnay, Rat brain.
This gene encodes an enzyme, consisting of two identical proteins, which catalyzes the isomerization of glyceraldehydes 3-phosphate and dihydroxy-acetone phosphate in glycolysis and gluconeogenesis. Mutations in this gene are associated with triosephosphate isomerase deficiency. Pseudogenes have been identified on chromosomes 1, 4, 6 and 7. Alternative splicing results in multiple transcript variants.
Specifications
| TPI1 | |
| Polyclonal | |
| Unconjugated | |
| Tpi1 | |
| AI255506; epididymis secretory protein Li 49; HEL-S-49; Methylglyoxal synthase; MGC88108; TIM; Tpi; TPI1; Tpi-1; TPID; triosephosphate isomerase; triose-phosphate isomerase; triosephosphate isomerase 1; triose-phosphate isomerase TPI1; unnamed protein product; YD9609.05C; YDR050C | |
| Rabbit | |
| Affinity chromatography | |
| RUO | |
| 21991, 24849, 7167 | |
| -20°C, Avoid Freeze/Thaw Cycles | |
| Liquid |
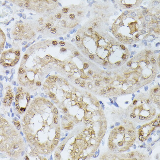
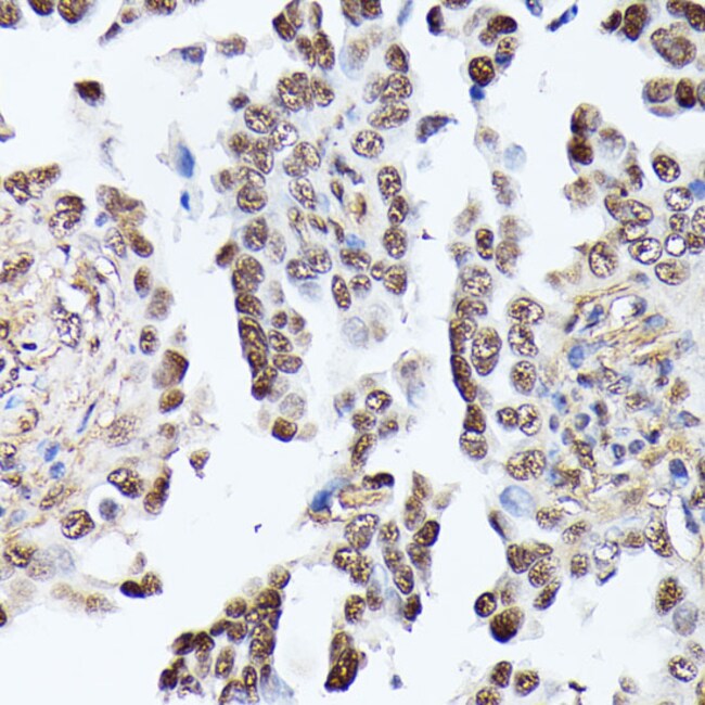
| ELISA, Immunohistochemistry (Paraffin), Western Blot, Immunocytochemistry | |
| 0.6 mg/mL | |
| PBS with 50% glycerol and 0.01% thimerosal; pH 7.3 | |
| P17751, P48500, P60174 | |
| Tpi1 | |
| Recombinant fusion protein containing a sequence corresponding to amino acids 1-249 of human TPI1 (NP_0003561). | |
| 100 μL | |
| Primary | |
| Human, Mouse, Rat | |
| Antibody | |
| IgG |
Your input is important to us. Please complete this form to provide feedback related to the content on this product.