Promotional price valid on web orders only. Your contract pricing may differ. Interested in signing up for a dedicated account number?
Learn More
Learn More
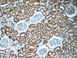
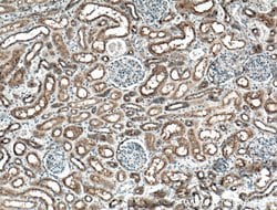
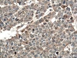
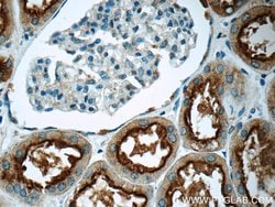
TPK1 Rabbit anti-Human, Mouse, Rat, Polyclonal, Proteintech

Rabbit Polyclonal Antibody
Supplier: Proteintech Group Inc 109421AP150UL

Description
This gene encodes a protein, that exists as a homodimer, which catalyzes the conversion of thiamine to thiamine pyrophosphate. Alternate transcriptional splice variants, encoding different isoforms, have been characterized.Specifications
TPK1 | |
Polyclonal | |
Unconjugated | |
TPK1 | |
HTPK1, Placental protein 20, PP20, thiamin pyrophosphokinase 1, Thiamine pyrophosphokinase 1, TPK1 | |
Rabbit | |
Antigen Affinity Chromatography | |
RUO | |
27010, 29807, 680668 | |
-20°C | |
Liquid |
Immunohistochemistry (Paraffin), Immunoprecipitation, Western Blot | |
0.13 mg/mL | |
PBS with 50% glycerol and 0.1% sodium azide; pH 7.3 | |
Q9H3S4, Q9R0M5 | |
Tpk1 | |
TPK1 Fusion Protein Ag1404 | |
150 μL | |
Primary | |
Human, Mouse, Rat | |
Antibody | |
IgG |
Product Content Correction
The Fisher Scientific Encompass Program offers items which are not part of our distribution portfolio. These products typically do not have pictures or detailed descriptions. However, we are committed to improving your shopping experience. Please use the form below to provide feedback related to the content on this product.
Product Title
Spot an opportunity for improvement?Share a Content Correction