Promotional price valid on web orders only. Your contract pricing may differ. Interested in signing up for a dedicated account number?
Learn More
Learn More
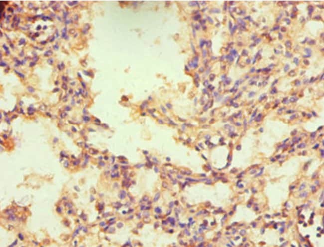
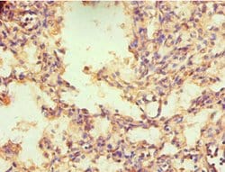
Invitrogen™ TR2 Polyclonal Antibody

Rabbit Polyclonal Antibody
Supplier: Invitrogen™ PA5112630
Description
TR2 Polyclonal Antibody for Western Blot, IHC (P), ELISA
This gene encodes a nuclear hormone receptor characterized by a highly conserved DNA binding domain (DBD), a variable hinge region, and a carboxy-terminal ligand binding domain (LBD) that is typical for all members of the steroid/thyroid hormone receptor superfamily. This protein also belongs to a large family of ligand-inducible transcription factors that regulate gene expression by binding to specific DNA sequences within promoters of target genes. Multiple alternatively spliced transcript variants have been described, but the full-length nature of some of these variants has not been determined.
Specifications
| TR2 | |
| Polyclonal | |
| Unconjugated | |
| Nr2c1 | |
| 4831444H07Rik; 80.3; 80-3 cNDA; ATAR; CD270; CD40-like protein; early embryonic nuclear receptor; Eenr; herpes virus entry mediator A; Herpesvirus entry mediator A; HVEA; HVEM; LIGHTR; mTR2; nr2c1; Nuclear receptor subfamily 2 group C member 1; nuclear receptor subfamily 2, group C isoform; nuclear receptor subfamily 2, group C, member 1; nuclear receptor subfamily 2, group H, member 1; orphan nuclear receptor TR2; orphan receptor, TR2-11; pregnancy specific beta-1-glycoprotein 4; Psg4; testicular receptor 2; TNF receptor superfamily member 14; TNFRSF14; Tr2; TR2 nuclear hormone receptor; Tr2-11; Tumor necrosis factor receptor superfamily member 14; tumor necrosis factor receptor superfamily, member 14 (herpesvirus entry mediator); Tumor necrosis factor receptor-like 2; tumor necrosis factor receptor-like gene2; UNQ329/PRO509 | |
| Rabbit | |
| Antigen affinity chromatography | |
| RUO | |
| 7181 | |
| -20°C or -80°C if preferred | |
| Liquid |
| ELISA, Immunohistochemistry (Paraffin), Western Blot | |
| 0.74 mg/mL | |
| PBS with 50% glycerol and 0.02% sodium azide; pH 7.3 | |
| P13056 | |
| Nr2c1 | |
| Recombinant Human Nuclear receptor subfamily 2 group C member 1 protein (1-240AA). | |
| 100 μL | |
| Primary | |
| Human | |
| Antibody | |
| IgG |
Safety and Handling
WARNING: Cancer - www.P65Warnings.ca.gov
Product Content Correction
Your input is important to us. Please complete this form to provide feedback related to the content on this product.
Product Title
Spot an opportunity for improvement?Share a Content Correction