Promotional price valid on web orders only. Your contract pricing may differ. Interested in signing up for a dedicated account number?
Learn More
Learn More
Invitrogen™ TRADD Polyclonal Antibody

Rabbit Polyclonal Antibody
Supplier: Invitrogen™ PA5116447
Description
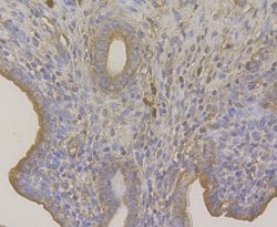
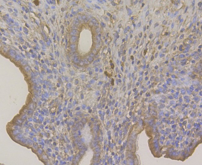
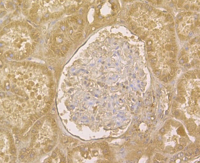
Positive controls: Mouse spleen tissue lysates, rat uterus tissue, human kidney tissue.
TRADD (Tumor necrosis factor receptor type 1-associated DEATH domain protein) is an important mediator of FAS and TNFR1 associated apoptotic signaling. The nuclear form acts as a tumor suppressor by preventing ubiquitination and degradation of isoform p19ARF/ARF of CDKN2A by TRIP12. TRADD acts by interacting with TRIP12 and leading to the disruption of the interaction between TRIP12 and isoform p19ARF/ARF of CDKN2A. TRADD acts as an adapter molecule for TNFRSF1A/TNFR1 that specifically associates with the cytoplasmic domain of activated TNFRSF1A/TNFR1 mediating its interation with FADD. Overexpression of TRADD leads to two major TNF-induced responses - apoptosis and activation of NF-kappa-B.
Specifications
| TRADD | |
| Polyclonal | |
| Unconjugated | |
| TRADD | |
| 9130005N23Rik; AA930854; Hs.89862; Hs89862; MGC11078; TNF receptor 1 associated signal transducer; TNFR1-associated DEATH domain protein; TNFRSF1A associated via death domain; TNFRSF1A-associated via death domain; TRADD; tumor necrosis factor receptor type 1 associated death domain protein; tumor necrosis factor receptor type 1-associated DEATH domain protein; tumor necrosis factor receptor-1-associated protein | |
| Rabbit | |
| Antigen affinity chromatography | |
| RUO | |
| 246756, 71609, 8717 | |
| Store at 4°C short term. For long term storage, store at -20°C, avoiding freeze/thaw cycles. | |
| Liquid |
| Immunohistochemistry (Paraffin), Western Blot, Immunocytochemistry | |
| 1 mg/mL | |
| PBS with 0.2% BSA, 50% glycerol and 0.05% sodium azide; pH 7.4 | |
| Q15628, Q3U0V2 | |
| TRADD | |
| Recombinant protein within Human TRADD aa 109-312. | |
| 100 μL | |
| Primary | |
| Human, Mouse, Rat | |
| Antibody | |
| IgG |
Product Content Correction
Your input is important to us. Please complete this form to provide feedback related to the content on this product.
Product Title
Spot an opportunity for improvement?Share a Content Correction