Promotional price valid on web orders only. Your contract pricing may differ. Interested in signing up for a dedicated account number?
Learn More
Learn More
Invitrogen™ TRAF2 Polyclonal Antibody

Rabbit Polyclonal Antibody
Supplier: Invitrogen™ PA520193
Description
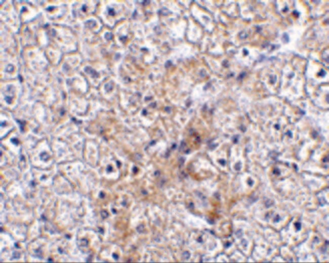
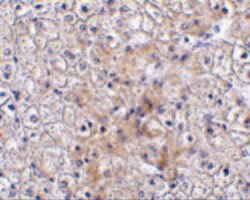
A suggested positive control is human liver tissue lysate. PA5-20193 can be used with blocking peptide PEP-0323.
Tumor necrosis factor (TNF) receptor associated factors (TRAFs) were initially discovered as adaptor proteins that link the TNF receptor superfamily to signaling pathways and are thus important regulators of cell death and cellular response to stress. TRAF proteins share a homology region that allows them to bind to cell receptors and other TRAF proteins, causing the activation of different signal cascades depending on the TRAFs involved. For example, TRAF2 and TRAF3 directly bind to the CD40, a NF receptor superfamily member involved in inducing B cell immunity, and are critical for NF-kappa-B activation in mouse B lymphocytes. TRAF2 along with TRAF6 has also been shown to be required for CD40 signaling in nonhemopoietic cells. TRAF2 also interacts with the TRFR superfamily member lymphotoxin-beta receptor (LTbetaR) in association with TRAF3 and the apoptosis inhibitors cIAP1 and Smac.
Specifications
| TRAF2 | |
| Polyclonal | |
| Unconjugated | |
| TRAF2 | |
| AI325259; E3 ubiquitin-protein ligase TRAF2; MGC:45012; OTTHUMP00000064745; RING-type E3 ubiquitin transferase TRAF2; TNF receptor associated factor 2; Tnf receptor-associated factor 2; TRAF2; TRAP; TRAP3; tumor necrosis factor type 2 receptor associated protein 3; tumor necrosis factor type 2 receptor-associated protein 3 | |
| Rabbit | |
| Antigen affinity chromatography | |
| RUO | |
| 22030, 311786, 7186 | |
| Maintain refrigerated at 2-8°C for up to 3 months. For long term storage store at -20°C | |
| Liquid |
| Immunohistochemistry, Immunoprecipitation, Western Blot, Immunocytochemistry | |
| 1 mg/mL | |
| PBS with 0.02% sodium azide | |
| P39429, Q12933 | |
| TRAF2 | |
| A 16 amino acid peptide from near the amino terminus of human TRAF2. | |
| 100 μg | |
| Primary | |
| Human, Mouse, Rat | |
| Antibody | |
| IgG |
Product Content Correction
Your input is important to us. Please complete this form to provide feedback related to the content on this product.
Product Title
Spot an opportunity for improvement?Share a Content Correction