Promotional price valid on web orders only. Your contract pricing may differ. Interested in signing up for a dedicated account number?
Learn More
Learn More
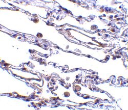
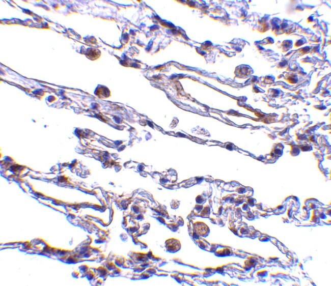
Invitrogen™ TRAF3IP2 Polyclonal Antibody

Rabbit Polyclonal Antibody
Supplier: Invitrogen™ PA519988
Description
In Western blot applications, this antibody detects a band at ~63kDa. A suggested positive control is human placenta lysate. PA5-19988 can be used with blocking peptide PEP-0112.
This gene encodes a protein involved in regulating responses to cytokines by members of the Rel/NF-kappaB transcription factor family. These factors play a central role in innate immunity in response to pathogens, inflammatory signals and stress. This gene product interacts with TRAF proteins (tumor necrosis factor receptor-associated factors) and either I-kappaB kinase or MAP kinase to activate either NF-kappaB or Jun kinase. Two alternative transcripts encoding different proteins have been identified. A third transcript, which does not encode a protein and is transcribed in the opposite orientation, has been identified. Overexpression of this transcript has been shown to reduce expression of at least one of the protein encoding transcripts, suggesting it has a regulatory role in the expression of this gene.
Specifications
| TRAF3IP2 | |
| Polyclonal | |
| Unconjugated | |
| TRAF3IP2 | |
| ACT1; adapter protein CIKS; AI429613; C6orf2; C6orf4; C6orf5; C6orf6; CANDF8; CIKS; connection to IKK and SAPK/JNK; NFkB-activating protein ACT1; nuclear factor NF-kappa-B activator 1; PSORS13; RGD1304768; RP3-487J7.3; TRAF3 interacting protein 2; TRAF3-interacting protein 2; TRAF3IP2 | |
| Rabbit | |
| Antigen affinity chromatography | |
| RUO | |
| 10758 | |
| Maintain refrigerated at 2-8°C for up to 3 months. For long term storage store at -20°C | |
| Liquid |
| Immunohistochemistry, Western Blot, Immunocytochemistry | |
| 1 mg/mL | |
| PBS with 0.02% sodium azide | |
| O43734 | |
| TRAF3IP2 | |
| A synthetic peptide corresponding to amino acids 554 to 568 of human CIKS. | |
| 100 μg | |
| Primary | |
| Human | |
| Antibody | |
| IgG |
Product Content Correction
Your input is important to us. Please complete this form to provide feedback related to the content on this product.
Product Title
Spot an opportunity for improvement?Share a Content Correction