Promotional price valid on web orders only. Your contract pricing may differ. Interested in signing up for a dedicated account number?
Learn More
Learn More
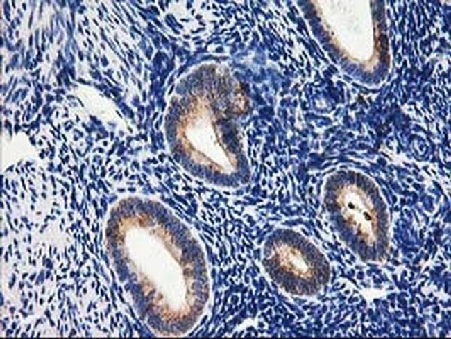
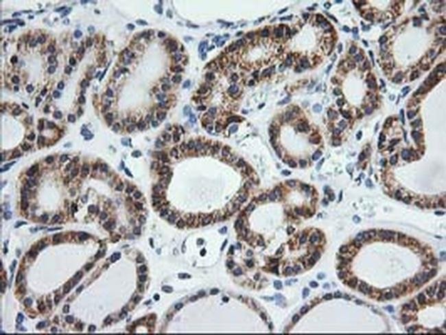
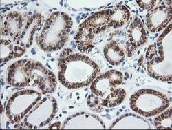
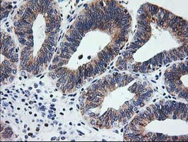
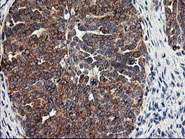
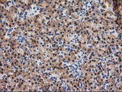
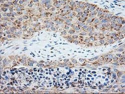
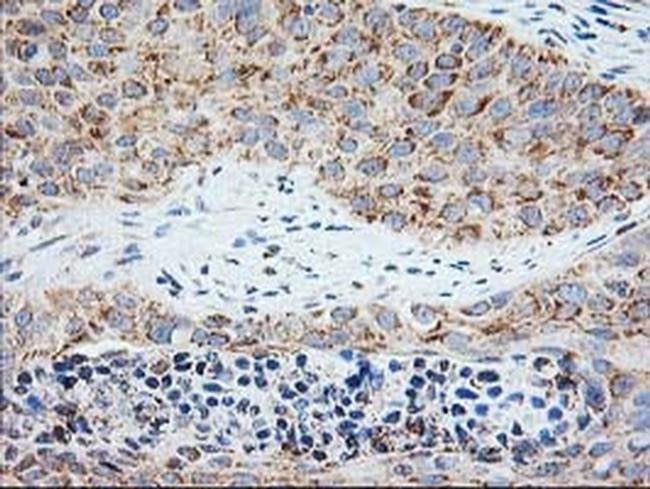
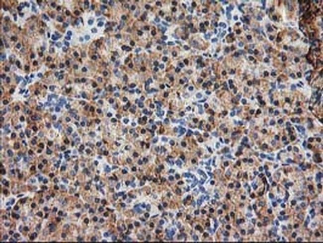
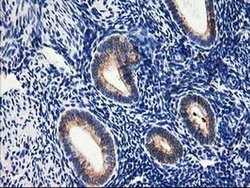
Invitrogen™ TRAP alpha Monoclonal Antibody (OTI4C7)

Mouse Monoclonal Antibody
Supplier: Invitrogen™ MA525635
Description
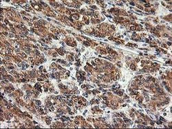
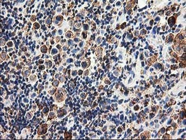
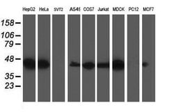
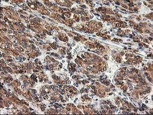
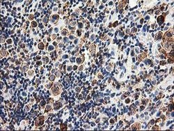
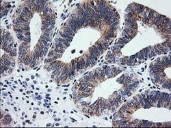
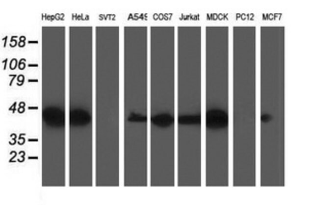
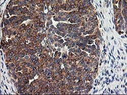
TRAP alpha Monoclonal Antibody for Western Blot, ICC/IF, IHC (P), Flow
The signal sequence receptor (SSR) is a glycosylated endoplasmic reticulum (ER) membrane receptor associated with protein translocation across the ER membrane. The SSR consists of 2 subunits, a 34-kD glycoprotein encoded by this gene and a 22-kD glycoprotein. This gene generates several mRNA species as a result of complex alternative polyadenylation. This gene is unusual in that it utilizes arrays of polyA signal sequences that are exclusively non-canonical.
Specifications
TRAP alpha | |
Monoclonal | |
1 mg/mL | |
PBS with 1% BSA, 50% glycerol and 0.02% sodium azide; pH 7.3 | |
P16967, P43307 | |
SSR1 | |
Full length human recombinant protein of SSR1 produced in HEK293 cell. | |
100 μL | |
Primary | |
Human, Canine, Monkey | |
Antibody | |
IgG1 |
Flow Cytometry, Immunohistochemistry (Paraffin), Western Blot, Immunocytochemistry | |
OTI4C7 | |
Unconjugated | |
SSR1 | |
2510001K09Rik; 6330400D04; Ac2-238; AI159733; AI452176; cb758; DKFZp781N23103; liver regeneration-related protein LRRG137; PGP35; PSEC0262; signal sequence receptor subunit 1; signal sequence receptor subunit alpha; signal sequence receptor, alpha; signal sequence receptor, alpha (translocon-associated protein alpha); SSR; SSR alpha subunit; SSR1; SSRA precursor protein; SSR-alpha; translocon associated protein alpha; translocon-associated protein alpha; translocon-associated protein alpha subunit; translocon-associated protein subunit alpha; TRAP alpha; TRAPA; TRAP-alpha; unnamed protein product | |
Mouse | |
Affinity Chromatography | |
RUO | |
403951, 6745 | |
-20°C, Avoid Freeze/Thaw Cycles | |
Liquid |
Product Content Correction
Your input is important to us. Please complete this form to provide feedback related to the content on this product.
Product Title
Spot an opportunity for improvement?Share a Content Correction