Promotional price valid on web orders only. Your contract pricing may differ. Interested in signing up for a dedicated account number?
Learn More
Learn More
Invitrogen™ TRAP alpha Polyclonal Antibody

Rabbit Polyclonal Antibody
Supplier: Invitrogen™ PA553542
Description
Immunogen sequence: VSGEPEASPS ADTTILFVKG EDFPANNIVK FLVGFTNKGT EDFIVESLDA SFRYPQDYQF YIQNFTALPL NTVVPPQRQA TFEYSFIPAE PMGGRPFGLV INLNYKDLNG NVFQDAVFNQ TVT Highest antigen sequence identity to the following orthologs: Mouse - 99%, Rat - 98%.
The signal sequence receptor (SSR) is a glycosylated endoplasmic reticulum (ER) membrane receptor associated with protein translocation across the ER membrane. The SSR consists of 2 subunits, a 34-kD glycoprotein encoded by this gene and a 22-kD glycoprotein. This gene generates several mRNA species as a result of complex alternative polyadenylation. This gene is unusual in that it utilizes arrays of polyA signal sequences that are exclusively non-canonical.
Specifications
TRAP alpha | |
Polyclonal | |
Unconjugated | |
SSR1 | |
2510001K09Rik; 6330400D04; Ac2-238; AI159733; AI452176; cb758; DKFZp781N23103; liver regeneration-related protein LRRG137; PGP35; PSEC0262; signal sequence receptor subunit 1; signal sequence receptor subunit alpha; signal sequence receptor, alpha; signal sequence receptor, alpha (translocon-associated protein alpha); SSR; SSR alpha subunit; SSR1; SSRA precursor protein; SSR-alpha; translocon associated protein alpha; translocon-associated protein alpha; translocon-associated protein alpha subunit; translocon-associated protein subunit alpha; TRAP alpha; TRAPA; TRAP-alpha; unnamed protein product | |
Rabbit | |
Antigen affinity chromatography | |
RUO | |
6745 | |
Store at 4°C short term. For long term storage, store at -20°C, avoiding freeze/thaw cycles. | |
Liquid |
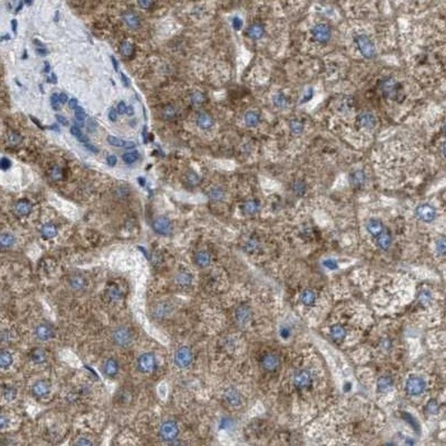
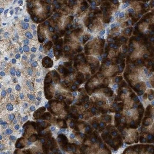
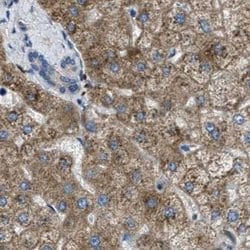
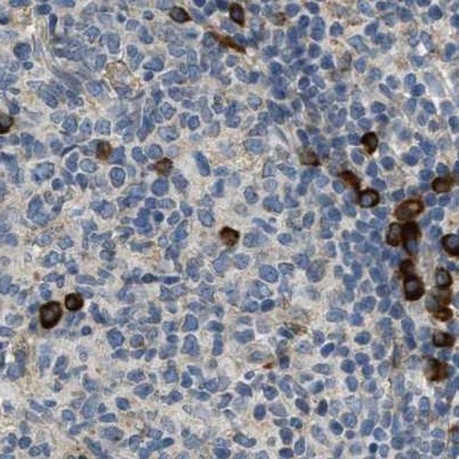
Immunohistochemistry (Paraffin), Western Blot | |
0.05 mg/mL | |
PBS with 40% glycerol and 0.02% sodium azide; pH 7.2 | |
P43307 | |
SSR1 | |
Recombinant protein corresponding to Human SSR1. Recombinant protein control fragment (Product #RP-90180). | |
100 μL | |
Primary | |
Human | |
Antibody | |
IgG |
Safety and Handling
WARNING: Cancer - www.P65Warnings.ca.gov
Product Content Correction
Your input is important to us. Please complete this form to provide feedback related to the content on this product.
Product Title
Spot an opportunity for improvement?Share a Content Correction