Promotional price valid on web orders only. Your contract pricing may differ. Interested in signing up for a dedicated account number?
Learn More
Learn More
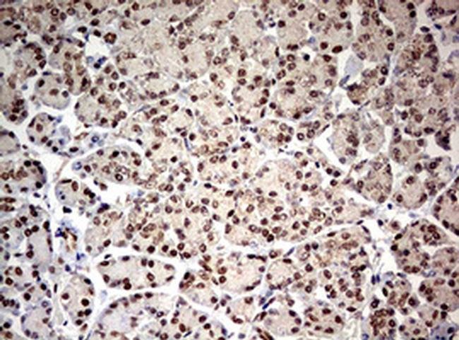
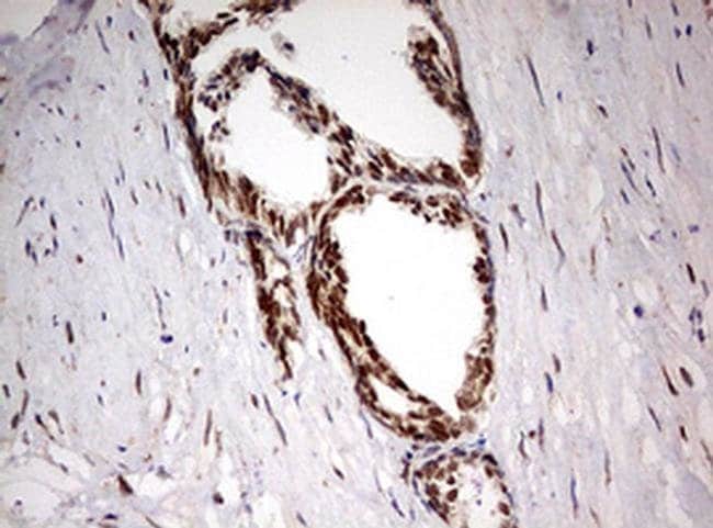
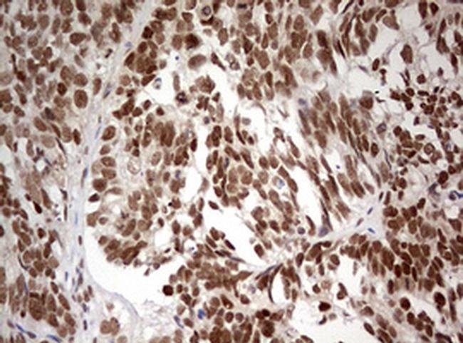
Invitrogen™ TRIM24 Monoclonal Antibody (OTI2D9)

Mouse Monoclonal Antibody
Supplier: Invitrogen™ MA526554
Description
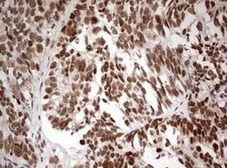
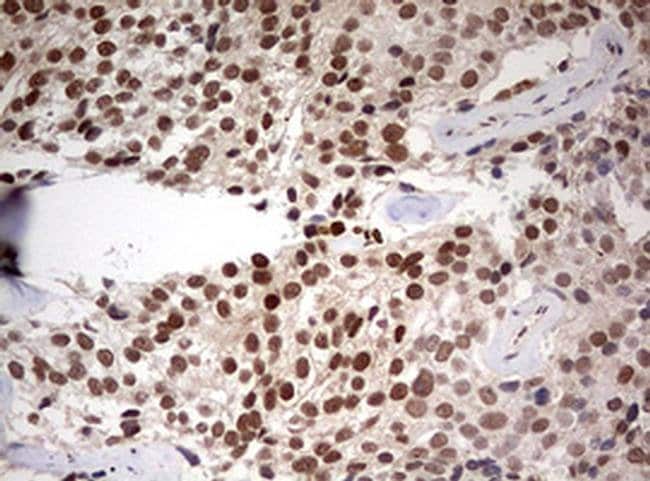
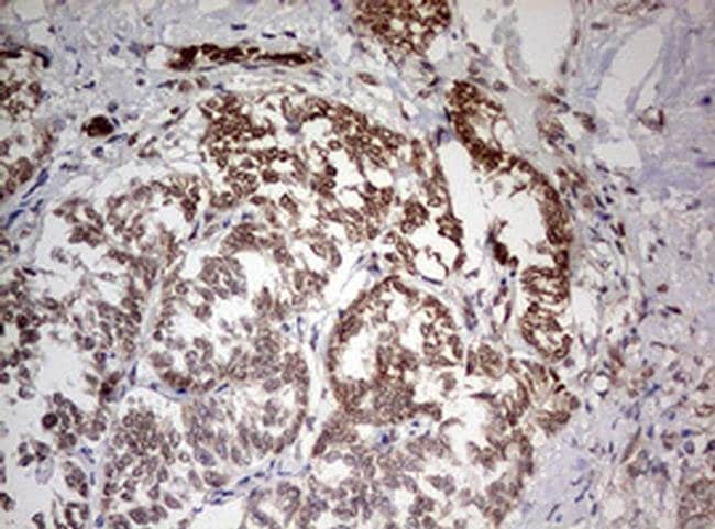
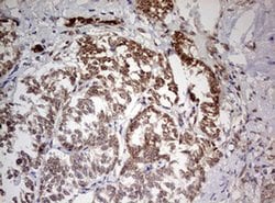
TRIM24 Monoclonal Antibody for Western Blot, IHC (P)
The protein encoded by this gene mediates transcriptional control by interaction with the activation function 2 (AF2) region of several nuclear receptors, including the estrogen, retinoic acid, and vitamin D3 receptors. The protein localizes to nuclear bodies and is thought to associate with chromatin and heterochromatin-associated factors. The protein is a member of the tripartite motif (TRIM) family. The TRIM motif includes three zinc-binding domains - a RING, a B-box type 1 and a B-box type 2 - and a coiled-coil region. Two alternatively spliced transcript variants encoding different isoforms have been described for this gene.
Specifications
| TRIM24 | |
| Monoclonal | |
| 1 mg/mL | |
| PBS with 1% BSA, 50% glycerol and 0.02% sodium azide; pH 7.3 | |
| O15164 | |
| TRIM24 | |
| Human recombinant protein fragment corresponding to amino acids 706-1016 of TRIM24 produced in E.coli. | |
| 100 μL | |
| Primary | |
| Human | |
| Antibody | |
| IgG1 |
| Immunohistochemistry (Paraffin), Western Blot | |
| OTI2D9 | |
| Unconjugated | |
| TRIM24 | |
| A130082H20Rik; Ab2-427; AI447469; D430004I05Rik; E3 ubiquitin-protein ligase TRIM24; hTIF1; PTC6; RING finger protein 82; RING-type E3 ubiquitin transferase TIF1-alpha; RNF82; TF1A; Tif1; Tif1a; TIF1alpha; TIF1-alpha; Transcription intermediary factor 1-alpha; transcriptional intermediary factor 1; transcriptional intermediary factor 1, alpha; Trim24; tripartite motif containing 24; tripartite motif-containing 24; tripartite motif-containing protein 24 | |
| Mouse | |
| Affinity Chromatography | |
| RUO | |
| 8805 | |
| -20°C, Avoid Freeze/Thaw Cycles | |
| Liquid |
Product Content Correction
Your input is important to us. Please complete this form to provide feedback related to the content on this product.
Product Title
Spot an opportunity for improvement?Share a Content Correction