Promotional price valid on web orders only. Your contract pricing may differ. Interested in signing up for a dedicated account number?
Learn More
Learn More
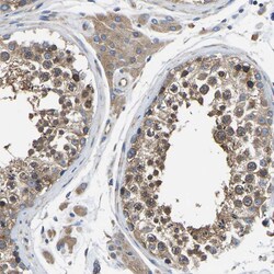
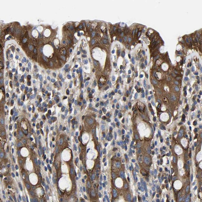
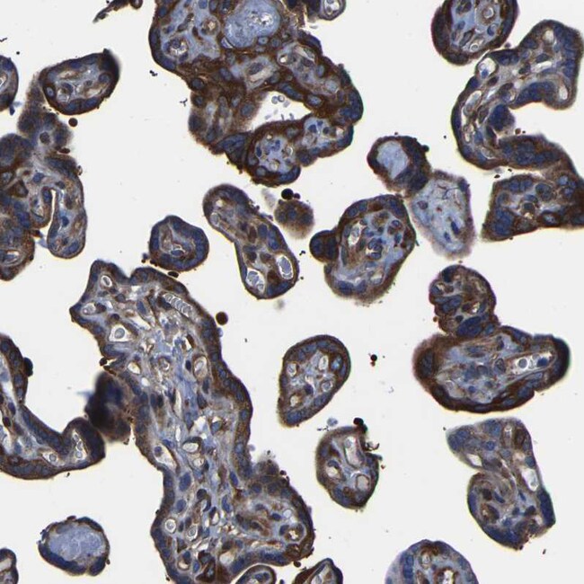
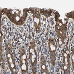
Invitrogen™ TRK fused gene Polyclonal Antibody

Rabbit Polyclonal Antibody
Supplier: Invitrogen™ PA553996
Description
Immunogen sequence: PQQLPAQPPQ QYQASNYPAQ TYTAQTSQPT NYTVAPASQP GMAPSQPGAY QPRPGFTSLP GSTMTPPPSG PNPYARNRPP FGQGYTQPG Highest antigen sequence identity to the following orthologs: Mouse - 85%, Rat - 85%.
TFG protein, a recently identified novel protein, is a human homolog of mouse TFG protein. It contains an N-terminal coiled-coil structure, a SPYGQ-rich region followed by octicosapeptide repeats. Research shows that TFG can modulate SHP-1 activity and is a novel member of the NF-kB pathway. The physiological functions of this protein remain largely elusive, but TFG is thought to function by associating with other proteins, including TANK and NEMO. TFG was first identified as a partner of NTRK1 and is involved in generating the thyroid TRK-T3 oncogene, as well as oncogenic rearrangements with ALK in anaplastic lymphoma and NOR1 in mixoid chondrosarcoma.
Specifications
| TRK fused gene | |
| Polyclonal | |
| Unconjugated | |
| TFG | |
| AI173908; HMSNP; protein TFG; SPG57; TF6; TFG; Trk-fused gene; TRK-fused gene protein; TRKT3; TRKT3 oncogene | |
| Rabbit | |
| Antigen affinity chromatography | |
| RUO | |
| 10342 | |
| Store at 4°C short term. For long term storage, store at -20°C, avoiding freeze/thaw cycles. | |
| Liquid |
| Immunohistochemistry (Paraffin), Immunocytochemistry | |
| 0.05 mg/mL | |
| PBS with 40% glycerol and 0.02% sodium azide; pH 7.2 | |
| Q92734 | |
| TFG | |
| Recombinant protein corresponding to Human TFG. Recombinant protein control fragment (Product #RP-92560). | |
| 100 μL | |
| Primary | |
| Human | |
| Antibody | |
| IgG |
Safety and Handling
WARNING: Cancer - www.P65Warnings.ca.gov
Product Content Correction
Your input is important to us. Please complete this form to provide feedback related to the content on this product.
Product Title
Spot an opportunity for improvement?Share a Content Correction