Promotional price valid on web orders only. Your contract pricing may differ. Interested in signing up for a dedicated account number?
Learn More
Learn More
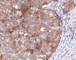
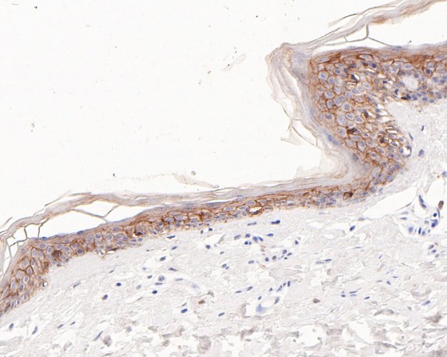
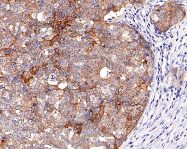
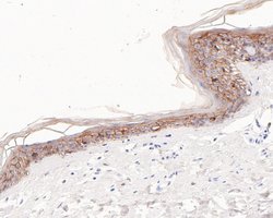
Invitrogen™ TROP2 Monoclonal Antibody (A5E2)

Mouse Monoclonal Antibody
Supplier: Invitrogen™ MA544977
This item is not returnable.
View return policy
Description
TROP2 Monoclonal Antibody for Western Blot, ICC/IF, IHC (P), Flow
TROP2 is a carcinoma-associated antigen defined by the monoclonal antibody GA733. This antigen is a member of a family including at least two type I membrane proteins. It transduces an intracellular calcium signal and acts as a cell surface receptor. Mutations of its gene result in gelatinous drop-like corneal dystrophy, an autosomal recessive disorder characterized by severe corneal amyloidosis leading to blindness.
Specifications
TROP2 | |
Monoclonal | |
2 mg/mL | |
TBS with 0.2% BSA, 50% glycerol and 0.05% sodium azide; pH 7.4 | |
P09758 | |
TACSTD2 | |
Recombinant protein within human TROP2 aa 1-274/323 (Extracellular). | |
100 μL | |
Primary | |
Human | |
Antibody | |
IgG1 |
Flow Cytometry, Immunohistochemistry (Paraffin), Western Blot, Immunocytochemistry | |
A5E2 | |
Unconjugated | |
TACSTD2 | |
40kD glycoprotein, identified by monoclonal antibody GA733; C80403; cell surface glycoprotein TROP2; cell surface glycoprotein Trop-2; EGP1; EGP-1; epithelial glycoprotein-1; GA733; GA7331; GA733-1; gastrointestinal tumor-associated antigen GA7331; GP50; Ly97; lymphocyte antigen 97; M1S1; Membrane component chromosome 1 surface marker 1; membrane component, chromosome 1, surface marker 1; pancreatic carcinoma marker protein GA7331; pancreatic carcinoma marker protein GA733-1; parturition-related protein 1; Prp1; TACD2; TACSTD2; Trop2; truncated TACSTD2; tumor-associated calcium signal transducer 2; tunor-associated calcium signal transducer 2 | |
Mouse | |
Protein G | |
RUO | |
4070 | |
Store at 4°C short term. For long term storage, store at -20°C, avoiding freeze/thaw cycles. | |
Liquid |
Product Content Correction
Your input is important to us. Please complete this form to provide feedback related to the content on this product.
Product Title
Spot an opportunity for improvement?Share a Content Correction