Promotional price valid on web orders only. Your contract pricing may differ. Interested in signing up for a dedicated account number?
Learn More
Learn More
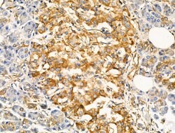
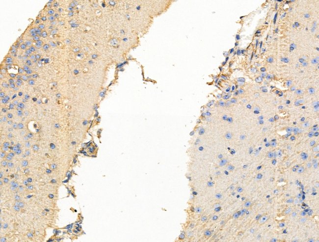
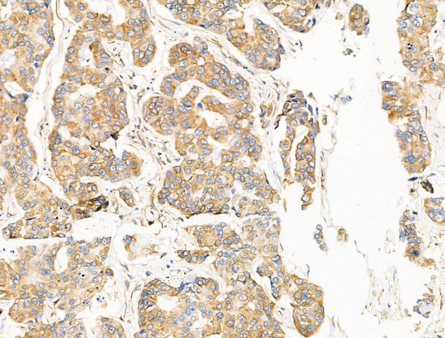
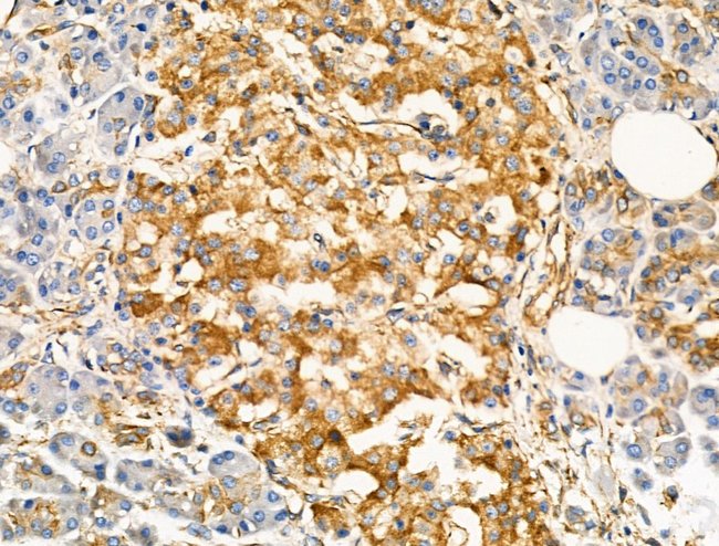
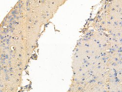
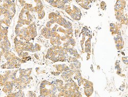
Invitrogen™ TRPC3 Polyclonal Antibody

Rabbit Polyclonal Antibody
Supplier: Invitrogen™ PA5116077
Description
Antibody detects endogenous levels of total TRPC3.
The mammalian transient receptor potential (TRP) superfamily can be divided into three major families including the canonical TRP (TRPC) family. The seven members of this family share the activation through PLC-coupled receptors and have been suggested to be components of receptor-regulated cation channels in different cell types. Furthermore, the members of the TRPC3/6/7 subfamily can be activated by diacylglycerol analogs, suggesting a possible mechanism of activation of these channels by PLC-coupled receptors. TRPC3 encodes a Ca2+-permeant channel that is agonist-activated but not store-operated or directly receptor-activated. TRPC3 physically interacts with TRPC6 and TRPC7 and forms functional tetrameric channels.
Specifications
TRPC3 | |
Polyclonal | |
Unconjugated | |
Trpc3 | |
hTrp3; hTrp-3; ion channel protein; mTrp3; Mwk; receptor-activated cation channel TRP3; SCA41; Short transient receptor potential channel 3; transient receptor potential cation channel subfamily C member 3; transient receptor potential cation channel subfamily C member 3 variant c; transient receptor potential cation channel, subfamily C, member 3; transient receptor protein 3; Trcp3; Trp3; TRP-3; TRPC3; TrpC3c; trp-related protein 3; Trrp3 | |
Rabbit | |
Affinity Chromatography | |
RUO | |
22065, 60395, 7222 | |
-20°C | |
Liquid |
Immunohistochemistry (Paraffin), Western Blot, Immunocytochemistry | |
1 mg/mL | |
PBS with 50% glycerol and 0.02% sodium azide | |
Q13507, Q9JMI9, Q9QZC1 | |
Trpc3 | |
A synthesized peptide derived from human TRPC3(Accession Q13507), corresponding to amino acid residues N784-R834. | |
100 μL | |
Primary | |
Human, Mouse, Rat | |
Antibody | |
IgG |
Product Content Correction
Your input is important to us. Please complete this form to provide feedback related to the content on this product.
Product Title
Spot an opportunity for improvement?Share a Content Correction