Promotional price valid on web orders only. Your contract pricing may differ. Interested in signing up for a dedicated account number?
Learn More
Learn More
Invitrogen™ TRPV3 Polyclonal Antibody

Rabbit Polyclonal Antibody
Supplier: Invitrogen™ PA511471
Description
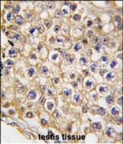
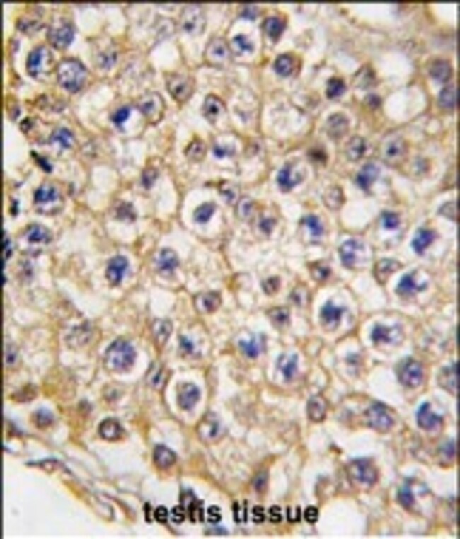
TRPV3 Polyclonal Antibody for Western Blot, IHC (P)
TRPV3 belongs to a family of nonselective cation channels that function in a variety of processes, including temperature sensation and vasoregulation. The thermosensitive members of this family are expressed in subsets of sensory neurons that terminate in the skin, and are activated at distinct physiological temperatures. This channel is activated at temperatures between 22 and 40 degrees C. This gene lies in close proximity to another family member (TRPV1) gene on chromosome 17, and the two encoded proteins are thought to associate with each other to form heteromeric channels.
Specifications
| TRPV3 | |
| Polyclonal | |
| Unconjugated | |
| TRPV3 | |
| 1110036I10Rik; AI644701; FNEPPK2; heat sensitive channel TRPV3; MGC124324; MGC124325; Nh; non-hair; OLMS; Transient receptor potential cation channel subfamily V member 3; transient receptor potential cation channel, subfamily V, member 3; TRP ion channel TRPV3; TrpV3; Vanilloid receptor-like 3; vanilloid receptor-related osmotically activated channel protein; VRL 3; VRL3; VRL-3 | |
| Rabbit | |
| Protein G | |
| RUO | |
| 246788 | |
| Store at 4°C short term. For long term storage, store at -20°C, avoiding freeze/thaw cycles. | |
| Liquid |
| Immunohistochemistry (Paraffin), Western Blot | |
| 2 mg/mL | |
| PBS with 0.09% sodium azide; pH 7.4 | |
| Q8K424 | |
| TRPV3 | |
| KLH conjugated synthetic peptide between 90-119 amino acids from the N-terminal region of mouse TRPV3. | |
| 400 μL | |
| Primary | |
| Mouse | |
| Antibody | |
| IgG |
Product Content Correction
Your input is important to us. Please complete this form to provide feedback related to the content on this product.
Product Title
Spot an opportunity for improvement?Share a Content Correction