Learn More
Invitrogen™ TRRAP Polyclonal Antibody

Rabbit Polyclonal Antibody
Supplier: Invitrogen™ PA5120661
Description
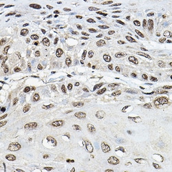
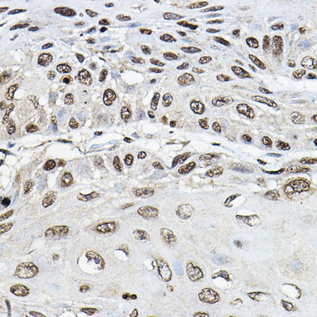
Positive test controls include: HeLa, Rat testis. Immunogen sequence: PNATDYWTFR KMFTIQLALI GFAEFVLHLN RLNPEMLQIA QDTGKLNVAY FRFDINDATG DLDANRPVPF RLTPNISEFL TTIGVSGPLT ASMIAVARCF AQPNFKVDGI LKTVLRDEII AWHKKTQEDT SSPLSAAGQP ENMDSQQLVS LVQKAVTAIM TRLHNLAQFE GGESKVNTLV AAANSLDNLC RMDPAWHPWL.
TRRAP is an adapter protein, which is found in various multiprotein chromatin complexes with histone acetyltransferase activity (HAT), which gives a specific tag for epigenetic transcription activation. Component of the NuA4 histone acetyltransferase complex which is responsible for acetylation of nucleosomal histones H4 and H2A. TRRAP plays a central role in MYC transcription activation, and also participates in cell transformation by MYC is required for p53/TP53-, E2F1- and E2F4-mediated transcription activation and is also involved in transcription activation mediated by the adenovirus E1A, a viral oncoprotein that deregulates transcription of key genes. TRRAP probably acts by linking transcription factors such as E1A, MYC or E2F1 to HAT complexes such as STAGA thereby allowing transcription activation, however, it is probably not required in the steps following histone acetylation in processes of transcription activation. TRRAP may be required for the mitotic checkpoint and normal cell cycle progression. TRRAP is a component of a SWR1-like complex that specifically mediates the removal of histone H2A.Z/H2AFZ from the nucleosome.
Specifications
| TRRAP | |
| Polyclonal | |
| Unconjugated | |
| TRRAP | |
| 350/400 kDa PCAF-associated factor; AI481500; OTTHUMP00000197294; OTTHUMP00000197295; PAF350/400; PAF400; STAF40; Tra1; Tra1 homolog; transactivation/transformation-domain associated protein; transformation/transcription domain associated protein; transformation/transcription domain-associated protein; TR-AP; TRRAP | |
| Rabbit | |
| Affinity Chromatography | |
| RUO | |
| 288471, 8295 | |
| -20°C, Avoid Freeze/Thaw Cycles | |
| Liquid |
| ELISA, Immunohistochemistry (Paraffin), Western Blot | |
| 0.92 mg/mL | |
| PBS with 50% glycerol and 0.01% thimerosal; pH 7.3 | |
| Q9Y4A5 | |
| TRRAP | |
| Recombinant fusion protein containing a sequence corresponding to amino acids 3660-3859 of TRRAP (NP_001231509.1). | |
| 100 μL | |
| Primary | |
| Human, Rat | |
| Antibody | |
| IgG |
Safety and Handling
Your input is important to us. Please complete this form to provide feedback related to the content on this product.