Promotional price valid on web orders only. Your contract pricing may differ. Interested in signing up for a dedicated account number?
Learn More
Learn More
Invitrogen™ TRUB1 Polyclonal Antibody

Rabbit Polyclonal Antibody
Supplier: Invitrogen™ PA558163
Description
Immunogen sequence: TDTLDSTGRV TEEKPYDKIT QEDIEGILQK FTGNIMQVPP LYSALKKDGQ RLSTLMKRGE VVEAKPARPV TVYSISLQKF QPPFFTLDVE CGGG Highest antigen sequence identity to the following orthologs: Mouse - 93%, Rat - 94%.
Pseudouridine is an abundant component of rRNAs and tRNAs and is enzymatically generated by isomerization of uridine by pseudouridine synthase (Zucchini et al., 2003 ).
Specifications
TRUB1 | |
Polyclonal | |
Unconjugated | |
TRUB1 | |
2610009I02Rik; 9030425C13Rik; AI448235; BB118943; C76870; probable tRNA pseudouridine synthase 1; PUS4; TruB pseudouridine (psi) synthase family member 1; TruB pseudouridine (psi) synthase homolog 1; TruB pseudouridine (psi) synthase homolog 1 (E. coli); TruB pseudouridine synthase family member 1; TRUB1 | |
Rabbit | |
Antigen affinity chromatography | |
RUO | |
142940 | |
Store at 4°C short term. For long term storage, store at -20°C, avoiding freeze/thaw cycles. | |
Liquid |
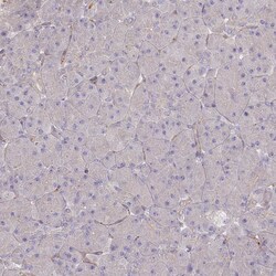
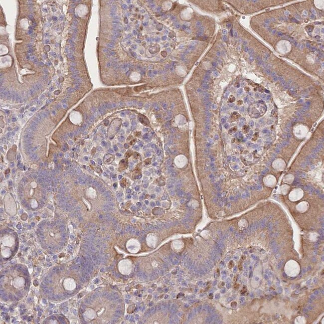
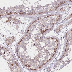
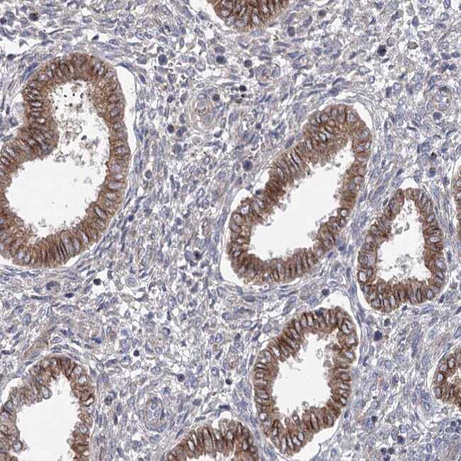
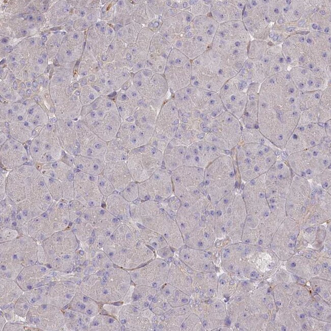
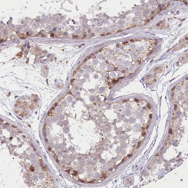
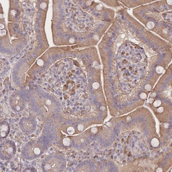
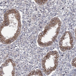
Immunohistochemistry (Paraffin), Western Blot, Immunocytochemistry | |
0.1 mg/mL | |
PBS with 40% glycerol and 0.02% sodium azide; pH 7.2 | |
Q8WWH5 | |
TRUB1 | |
Recombinant protein corresponding to Human TRUB1. Recombinant protein control fragment (Product #RP-97154). | |
100 μL | |
Primary | |
Human | |
Antibody | |
IgG |
Safety and Handling
WARNING: Cancer - www.P65Warnings.ca.gov
Product Content Correction
Your input is important to us. Please complete this form to provide feedback related to the content on this product.
Product Title
Spot an opportunity for improvement?Share a Content Correction