Learn More
Invitrogen™ TSC2 Recombinant Rabbit Monoclonal Antibody (SC05-59)

Rabbit Recombinant Monoclonal Antibody
Supplier: Invitrogen™ MA532190
Description
Recombinant rabbit monoclonal antibodies are produced using in vitro expression systems. The expression systems are developed by cloning in the specific antibody DNA sequences from immunoreactive rabbits. Then, individual clones are screened to select the best candidates for production. The advantages of using recombinant rabbit monoclonal antibodies include: better specificity and sensitivity, lot-to-lot consistency, animal origin-free formulations, and broader immunoreactivity to diverse targets due to larger rabbit immune repertoire.
TSC2 (Tuberin, Tuberous sclerosis complex, TSC Complex Subunit 2), is implicated as a tumor suppressor and may function in vesicular transport, play a role in the regulation of cell growth arrest and in the regulation of transcription mediated by steroid receptors. TSC2 associates with hamartin in a cytosolic complex, possibly acting as a chaperone for hamartin. Phosphorylation of tuberin on Ser 939 and Thr 1462 regulates its interaction with hamartin, and is stimulated by various growth factors through the phosphoinositide 3-kinase/Akt pathway. TSC2 may have a function in vesicular transport, but may also play a role in the regulation of cell growth arrest and in the regulation of transcription mediated by steroid receptors. Interaction between TSC1 and TSC2 may facilitate vesicular docking. TSC2 specifically stimulates the intrinsic GTPase activity of the Ras related protein RAP1A and RAB5, suggesting a possible mechanism for its role in regulating cellular growth. Mutations in TSC2 lead to constitutive activation of RAP1A in tumors and are involved in diseases such as lymphangioleiomyomatosis and TSC2 angiomyolipoma. Alternative splicing results in transcript variants of three different isoforms of TSC2.
Specifications
TSC2 | |
Recombinant Monoclonal | |
1 mg/mL | |
TBS with 0.05% BSA, 40% Glycerol and 0.05% sodium azide; pH 7.4 | |
P49815, P49816, Q61037 | |
TSC2 | |
Synthetic peptide within Human Tuberin aa 1760-1807. | |
100 μL | |
Primary | |
Human, Mouse, Rat | |
Antibody | |
IgG |
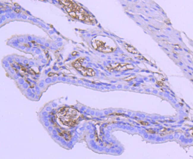
Flow Cytometry, Immunohistochemistry (Paraffin), Western Blot, Immunocytochemistry | |
SC05-59 | |
Unconjugated | |
TSC2 | |
LAM; Nafld; OTTHUMP00000198394; PPP1R160; protein phosphatase 1, regulatory subunit 160; Rc; renal carcinoma; Tcs2; Tsc2; TSC4; Tuberin; tuberous sclerosis 2; tuberous sclerosis 2 homolog protein; tuberous sclerosis 2 protein; Tuberous sclerosis 2 protein homolog | |
Rabbit | |
Protein A | |
RUO | |
22084, 24855, 7249 | |
Store at 4°C short term. For long term storage, store at -20°C, avoiding freeze/thaw cycles. | |
Liquid |
Your input is important to us. Please complete this form to provide feedback related to the content on this product.