Promotional price valid on web orders only. Your contract pricing may differ. Interested in signing up for a dedicated account number?
Learn More
Learn More
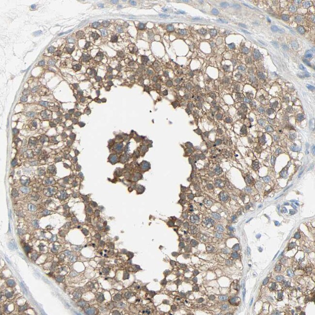
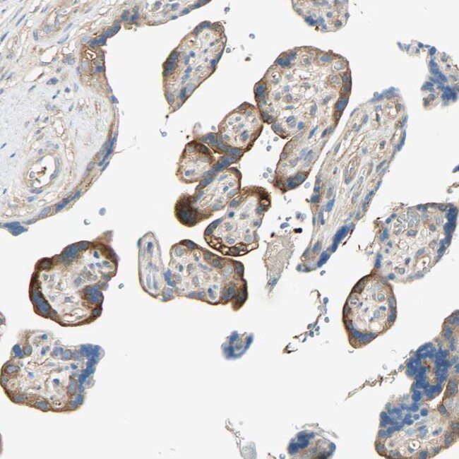
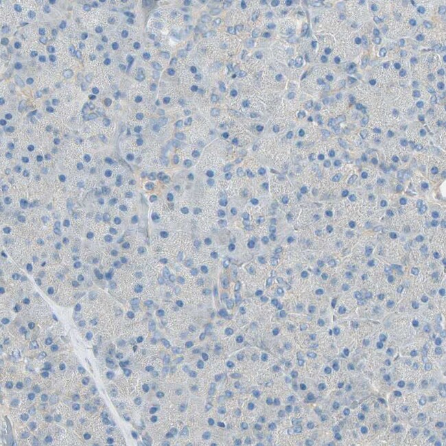
Invitrogen™ TSC22D2 Polyclonal Antibody

Rabbit Polyclonal Antibody
Supplier: Invitrogen™ PA552134
Description
Immunogen sequence: LVKSHLMYAV REEVEVLKEQ IKELVERNSL LERENALLKS LSSNDQLSQL PTQQANPGST SQQQAVIAQP PQPTQPPQQP Highest antigen sequence identity to the following orthologs: Mouse - 96%, Rat - 96%.
TSC22D2 belongs to the TSC-22/Dip/Bun family and the function remains unknown.
Specifications
TSC22D2 | |
Polyclonal | |
Unconjugated | |
TSC22D2 | |
1810043J12Rik; 5530402M19Rik; cb869; id:ibd5097; kiaa0669; KIAA0669-like protein; TILZ4; TILZ4a; TILZ4b; TILZ4c; TSC22 domain family 2; TSC22 domain family member 2; TSC22 domain family protein 2; TSC22 domain family protein 2-like protein; TSC22 domain family, member 2; TSC22D2; tsc22d2 protein; TSC22-related-inducible leucine zipper protein 4; wu:fa55e04; zgc:92475 | |
Rabbit | |
Antigen affinity chromatography | |
RUO | |
9819 | |
Store at 4°C short term. For long term storage, store at -20°C, avoiding freeze/thaw cycles. | |
Liquid |
Immunohistochemistry (Paraffin), Immunocytochemistry | |
0.1 mg/mL | |
PBS with 40% glycerol and 0.02% sodium azide; pH 7.2 | |
O75157 | |
TSC22D2 | |
Recombinant protein corresponding to Human TSC22D2. Recombinant protein control fragment (Product #RP-89216). | |
100 μL | |
Primary | |
Human | |
Antibody | |
IgG |
Product Content Correction
Your input is important to us. Please complete this form to provide feedback related to the content on this product.
Product Title
Spot an opportunity for improvement?Share a Content Correction