Promotional price valid on web orders only. Your contract pricing may differ. Interested in signing up for a dedicated account number?
Learn More
Learn More
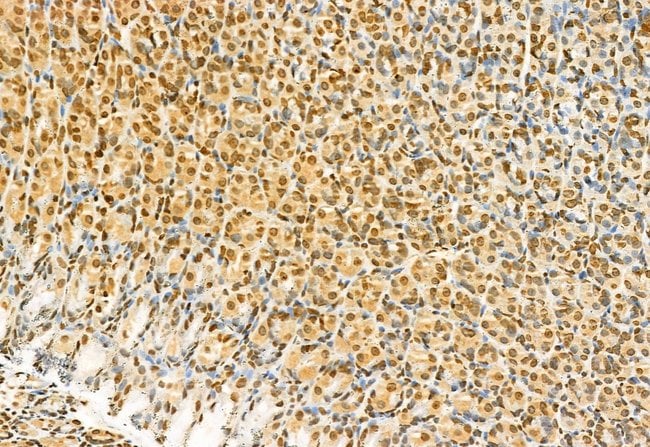
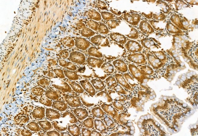
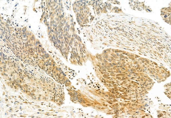
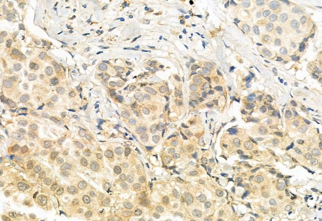
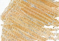
TSG101 Polyclonal Antibody

TSG101 Polyclonal Antibody
Supplier: Thermo Scientific PA5116081
Description
TSG101 Polyclonal Antibody for Western Blot, ICC/IF, IHC (PFA)
Specifications
| TSG101 | |
| Polyclonal | |
| Unconjugated | |
| Tsg101 | |
| AI255943; CC2; ESCRTI complex subunit TSG101; ESCRT-I complex subunit TSG101; Rw; TSG 101; TSG10; TSG101; Tumor supressor; tumor susceptibility 101; tumor susceptibility gene 10; tumor susceptibility gene 101; tumor susceptibility gene 101 protein; tumor susceptibility protein; VPS23 | |
| Rabbit | |
| Affinity chromatography | |
| RUO | |
| 22088, 292925, 7251 | |
| -20°C | |
| Liquid |
| Immunohistochemistry (Paraffin), Western Blot, Immunocytochemistry | |
| 1 mg/mL | |
| PBS with 50% glycerol and 0.02% sodium azide | |
| Q61187, Q6IRE4, Q99816 | |
| Tsg101 | |
| A synthesized peptide derived from human TSG101(Accession Q99816), corresponding to amino acid residues T161-T211. | |
| 100 μL | |
| Primary | |
| Human, Mouse, Rat, Monkey | |
| Antibody | |
| IgG |
Safety and Handling
WARNING: Cancer - www.P65Warnings.ca.gov
Product Content Correction
Your input is important to us. Please complete this form to provide feedback related to the content on this product.
Product Title
Spot an opportunity for improvement?Share a Content Correction