Promotional price valid on web orders only. Your contract pricing may differ. Interested in signing up for a dedicated account number?
Learn More
Learn More
Invitrogen™ TSN Polyclonal Antibody

Rabbit Polyclonal Antibody
Supplier: Invitrogen™ PA5116869
Description
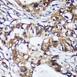
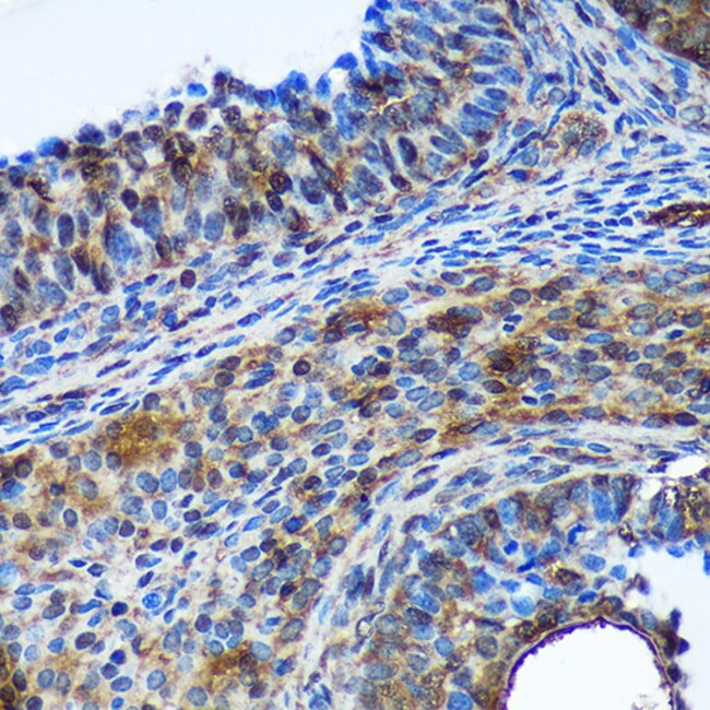
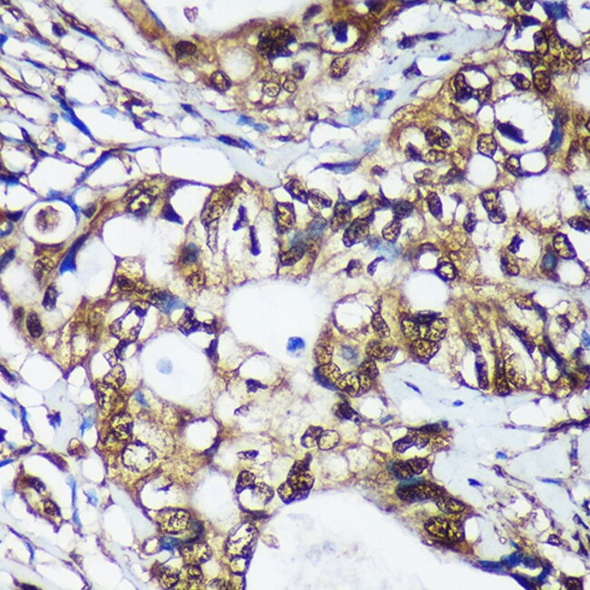
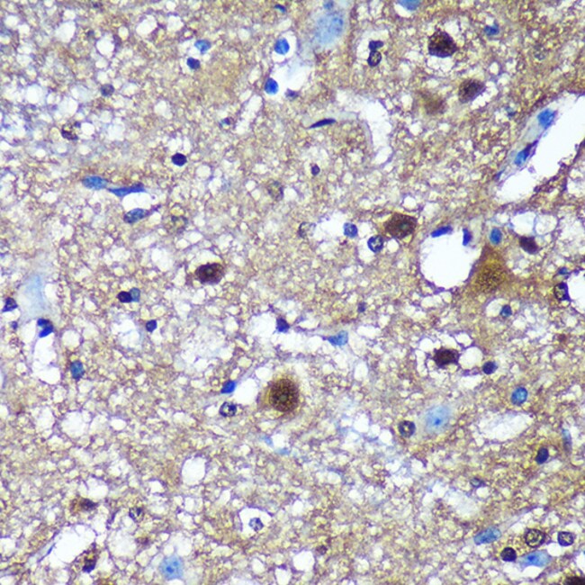
Positive Samples: K-562, HeLa, Mouse spleen, Mouse brain, Rat thymus, Rat spleen Immunogen sequence: GFQDIPKRCL KAREHFGTVK THLTSLKTKF PAEQYYRFHE HWRFVLQRLV FLAAFVVYLE TETLVTREAV TEILGIEPDR EKGFHLDVED YLSGVLILAS E.
Translin is a DNA-binding protein which specifically recognizes conserved target sequences at the breakpoint junction of chromosomal translocations. Translin polypeptides form a multimeric structure that is responsible for its DNA-binding activity. Recombination-associated motifs and translin-binding sites are present at recombination hotspots and may serve as indicators of breakpoints in genes which are fused by translocations. These binding activities may play a crucial role in chromosomal translocation in lymphoid neoplasms. Recent evidence suggests that in combination with a binding partner Trax, Translin binds RNA and mediates trafficking in neurons.
Specifications
TSN | |
Polyclonal | |
Unconjugated | |
Tsn | |
2610034C24Rik; AU040286; BCLF-1; C3PO; Component 3 of promoter of RISC; RCHF1; recombination hotspot associated factor; recombination hotspot-binding protein; REHF-1; TBRBP; TB-RBP; testis brain-RNA binding protein; testis/brain RNA-binding protein; testis/brain-RNA-binding protein; translin; TRSLN; Tsn | |
Rabbit | |
Affinity chromatography | |
RUO | |
22099, 60381, 7247 | |
-20°C, Avoid Freeze/Thaw Cycles | |
Liquid |
ELISA, Immunohistochemistry (Paraffin), Western Blot, Immunocytochemistry | |
1.72 mg/mL | |
PBS with 50% glycerol and 0.01% thimerosal; pH 7.3 | |
Q15631, Q62348 | |
Tsn | |
Synthetic Peptide. | |
100 μL | |
Primary | |
Human, Mouse, Rat | |
Antibody | |
IgG |
Product Content Correction
Your input is important to us. Please complete this form to provide feedback related to the content on this product.
Product Title
Spot an opportunity for improvement?Share a Content Correction