Promotional price valid on web orders only. Your contract pricing may differ. Interested in signing up for a dedicated account number?
Learn More
Learn More
TSPAN5 Polyclonal Antibody

TSPAN5 Polyclonal Antibody
Supplier: Thermo Scientific PA542906
Description
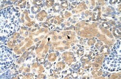
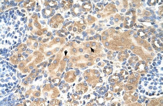
TSPAN5 Polyclonal Antibody for Western Blot, IHC

Specifications
TSPAN5 | |
Polyclonal | |
Unconjugated | |
TSPAN5 | |
2810455A09Rik; 4930505M03Rik; NET4; NET-4; tetraspan 5; tetraspan NET-4; tetraspan TM4SF; tetraspanin 5; tetraspanin Tspan-5; tetraspanin-5; TM4SF9; transmembrane 4 superfamily member 9; transmembrane 4 superfamily, member 8; Tspan5; tspan-5 | |
Rabbit | |
Affinity Chromatography | |
RUO | |
10098 | |
-20°C, Avoid Freeze/Thaw Cycles | |
Liquid |
Immunohistochemistry, Western Blot, Surface Plasmon Resonance | |
0.5 mg/mL | |
PBS with 2% sucrose and 0.09% sodium azide | |
P62079 | |
TSPAN5 | |
Synthetic peptide directed towards the middle region of human TSPAN5. | |
100 μL | |
Primary | |
Human | |
Antibody | |
IgG |
Product Content Correction
Your input is important to us. Please complete this form to provide feedback related to the content on this product.
Product Title
Spot an opportunity for improvement?Share a Content Correction