Promotional price valid on web orders only. Your contract pricing may differ. Interested in signing up for a dedicated account number?
Learn More
Learn More
Invitrogen™ TST Polyclonal Antibody

Rabbit Polyclonal Antibody
Supplier: Invitrogen™ PA530196
Description
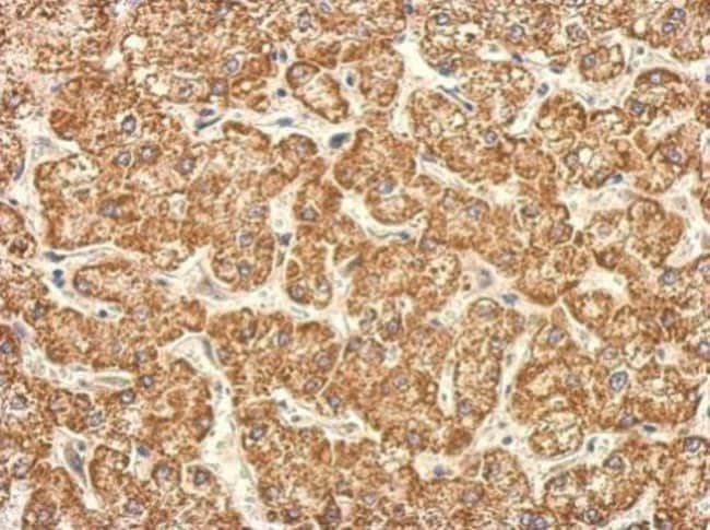
Recommended positive controls: HepG2, mouse liver, rat liver. Predicted reactivity: Mouse (89%), Rat (90%), Rhesus Monkey (96%), Bovine (90%). Store product as a concentrated solution. Centrifuge briefly prior to opening the vial.
The product of this gene is a mitochondrial matrix enzyme that is encoded by the nucleus. It may play roles in cyanide detoxification, the formation of iron-sulfur proteins, and the modification of sulfur-containing enzymes. The gene product contains two highly conservative domains (rhodanese homology domains), suggesting these domains have a common evolutionary origin.
Specifications
| TST | |
| Polyclonal | |
| Unconjugated | |
| TST | |
| LL22NC01-146D10.3; MGC19578; RDS; RHODAN; Rhodanese; thiosulfate sulfurtransferase; thiosulfate sulfurtransferase (rhodanese); thiosulfate sulfurtransferase, mitochondrial; Thiosulfate sulphurtransferase (rhodanese); TST | |
| Rabbit | |
| Antigen affinity chromatography | |
| RUO | |
| 22117, 25274, 7263 | |
| Store at 4°C short term. For long term storage, store at -20°C, avoiding freeze/thaw cycles. | |
| Liquid |
| Immunohistochemistry (Paraffin), Western Blot | |
| 0.71 mg/mL | |
| 0.1M tris glycine with 20% glycerol and 0.01% thimerosal; pH 7 | |
| P24329, P52196, Q16762 | |
| TST | |
| Recombinant protein encompassing a sequence within the center region of human TST. The exact sequence is proprietary. | |
| 100 μL | |
| Primary | |
| Human, Mouse, Rat | |
| Antibody | |
| IgG |
Safety and Handling
WARNING: Cancer - www.P65Warnings.ca.gov
Product Content Correction
Your input is important to us. Please complete this form to provide feedback related to the content on this product.
Product Title
Spot an opportunity for improvement?Share a Content Correction