Promotional price valid on web orders only. Your contract pricing may differ. Interested in signing up for a dedicated account number?
Learn More
Learn More
Invitrogen™ TTC21B Polyclonal Antibody

Rabbit Polyclonal Antibody
Supplier: Invitrogen™ PA557294
Description
Immunogen sequence: ALAHEPVNEL SALMEDGRCQ VLLAKVYSKM EKLGDAITAL QQARELQARV LKRVQMEQPD AVPAQKHLAA EICAEIAKHS VAQRDYE Highest antigen sequence identity to the following orthologs: Mouse - 86%, Rat - 86%.
The tetratricopeptide repeat (TPR) motif is a degenerate, 34 amino acid sequence found in many proteins and acts to mediate protein-protein interactions in various pathways. At the sequence level, there can be up to 16 tandem TPR repeats, each of which has a helix-turn-helix shape that stacks on other TPR repeats to achieve ligand binding specificity. TTC21B (tetratricopeptide repeat domain 21B), also known as THM1, is a 1,316 amino acid protein that contains 19 TPR repeats and belongs to the TTC21 family. Localizing to cytoplasm and cytoskeleton, TTC21B exists as two alternatively spliced isoforms and is thought to negatively regulate Shh signal transduction. TTC21B may also be involved in retrograde intraflagellar transport in cilia, and is encoded by a gene that maps to human chromosome 2q24.3.
Specifications
| TTC21B | |
| Polyclonal | |
| Unconjugated | |
| TTC21B | |
| 2410066K11Rik; aln; ATD4; IFT139; IFT139B; Intraflagellar transport 139 homolog; JBTS11; Kiaa1992; line 158; mKIAA1992; Nbla10696; NPHP12; putative protein product of Nbla10696; RGD1565122; SRTD4; tetratricopeptide repeat domain 21B; tetratricopeptide repeat protein 21B; Tetratricopeptide repeat-containing hedgehog modulator 1; Thm1; TPR repeat protein 21B; Ttc21b | |
| Rabbit | |
| Antigen affinity chromatography | |
| RUO | |
| 79809 | |
| Store at 4°C short term. For long term storage, store at -20°C, avoiding freeze/thaw cycles. | |
| Liquid |
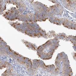
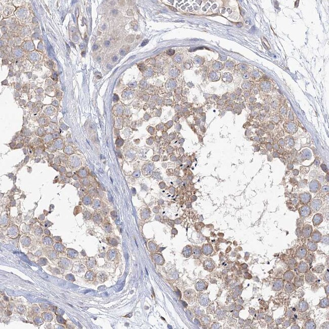
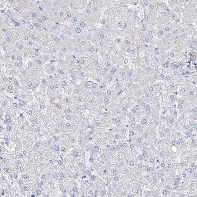
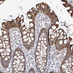
| Immunohistochemistry (Paraffin), Immunocytochemistry | |
| 0.2 mg/mL | |
| PBS with 40% glycerol and 0.02% sodium azide; pH 7.2 | |
| Q7Z4L5 | |
| TTC21B | |
| Recombinant protein corresponding to Human TTC21B. Recombinant protein control fragment (Product #RP-96060). | |
| 100 μL | |
| Primary | |
| Human | |
| Antibody | |
| IgG |
Safety and Handling
WARNING: Cancer - www.P65Warnings.ca.gov
Product Content Correction
Your input is important to us. Please complete this form to provide feedback related to the content on this product.
Product Title
Spot an opportunity for improvement?Share a Content Correction