Promotional price valid on web orders only. Your contract pricing may differ. Interested in signing up for a dedicated account number?
Learn More
Learn More
TTC32 Monoclonal Antibody (OTI2B9), TrueMAB™, OriGene

Mouse Monoclonal Antibody
Supplier: OriGene TA501343S


Description
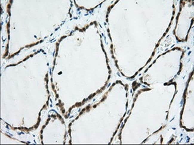
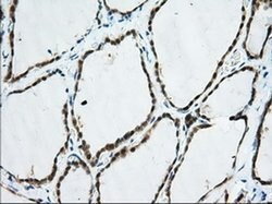
TTC32 Monoclonal antibody specifically detects TTC32 in Human samples. It is validated for Flow Cytometry, Immunocytochemistry, Immunohistochemistry (Paraffin), Western BlotSpecifications
TTC32 | |
Monoclonal | |
0.6 mg/mL | |
PBS with 1% BSA, 50% glycerol and 0.02% sodium azide | |
Q5I0X7 | |
Mouse | |
Affinity chromatography | |
RUO | |
130502 | |
-20° C, Avoid Freeze/Thaw Cycles | |
IgG1 |
Flow Cytometry, Immunocytochemistry, Immunohistochemistry (Paraffin), Western Blot | |
OTI2B9 | |
Unconjugated | |
Ttc32 | |
1700013G20Rik; tetratricopeptide repeat domain 32; tetratricopeptide repeat protein 32; TPR repeat protein 32; TTC32 | |
Full length human recombinant protein of human TTC32 produced in HEK293T cell. | |
30 μL | |
Primary | |
Human | |
Liquid |
Product Content Correction
The Fisher Scientific Encompass Program offers items which are not part of our distribution portfolio. These products typically do not have pictures or detailed descriptions. However, we are committed to improving your shopping experience. Please use the form below to provide feedback related to the content on this product.
Product Title
Spot an opportunity for improvement?Share a Content Correction