Learn More
TTF-1/NKX2.1 Recombinant Rabbit Monoclonal Antibody (ZR176), RAbMono™, Zeta
Rabbit Recombinant Monoclonal Antibody Cocktail
Supplier: ZETA CORPORATION Z2370RS

Description
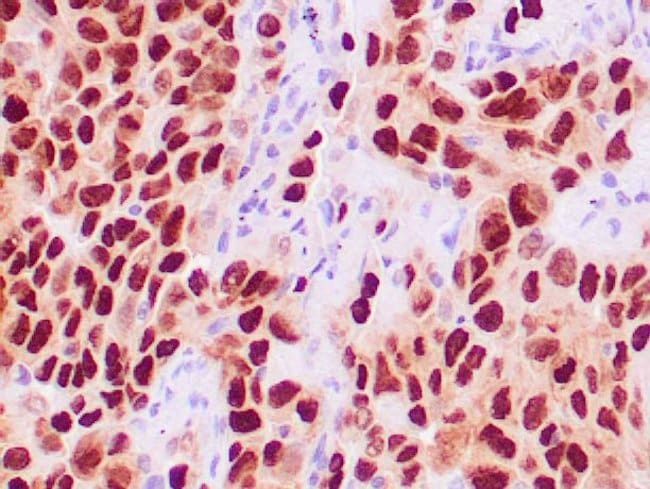
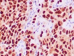
A recommended positive control tissue for this product is Lung adenocarcinoma, however positive controls are not limited to this tissue type. The primary antibody is intended for laboratory professional use in the detection of the corresponding protein in formalin-fixed, paraffin-embedded tissue stained in manual qualitative immunohistochemistry (IHC) testing. This antibody is intended to be used after the primary diagnosis of tumor has been made by conventional histopathology using non-immunological histochemical stains.
TTF-1/NKX2.1 Recombinant Monoclonal antibody specifically detects TTF-1/NKX2.1 in Human samples. It is validated for Immunohistochemistry (Paraffin)Specifications
TTF-1/NKX2.1 | |
Monoclonal | |
Unconjugated | |
NKX2-1 | |
AV026640; BCH; BHC; homeobox protein NK-2 homolog A; Homeobox protein Nkx-2.1; NK-2; NK2 homeobox 1; NK-2 homolog A; NKX2.1; Nkx-2.1; NKX2-1; NKX2A; NMTC1; RNA polymerase I transcription termination factor; T/EBP; TEBP; Thyroid nuclear factor 1; thyroid transcription factor 1; thyroid transcription factor 1 TTF-1 NK-2; thyroid transcription factor 1-like; thyroid-specific enhancer-binding protein; tinman; TITF1; TTF1; TTF-1 | |
Recombinant TTF-1 protein | |
500 μL | |
Primary | |
Human | |
Antibody | |
IgG κ |
Immunohistochemistry (Paraffin) | |
ZR176 | |
tris with BSA, NP-40 and <0.1% sodium azide | |
P43699 | |
Rabbit | |
Protein A | |
RUO | |
7080 | |
2-8°C | |
Liquid |
The Fisher Scientific Encompass Program offers items which are not part of our distribution portfolio. These products typically do not have pictures or detailed descriptions. However, we are committed to improving your shopping experience. Please use the form below to provide feedback related to the content on this product.