Promotional price valid on web orders only. Your contract pricing may differ. Interested in signing up for a dedicated account number?
Learn More
Learn More
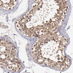
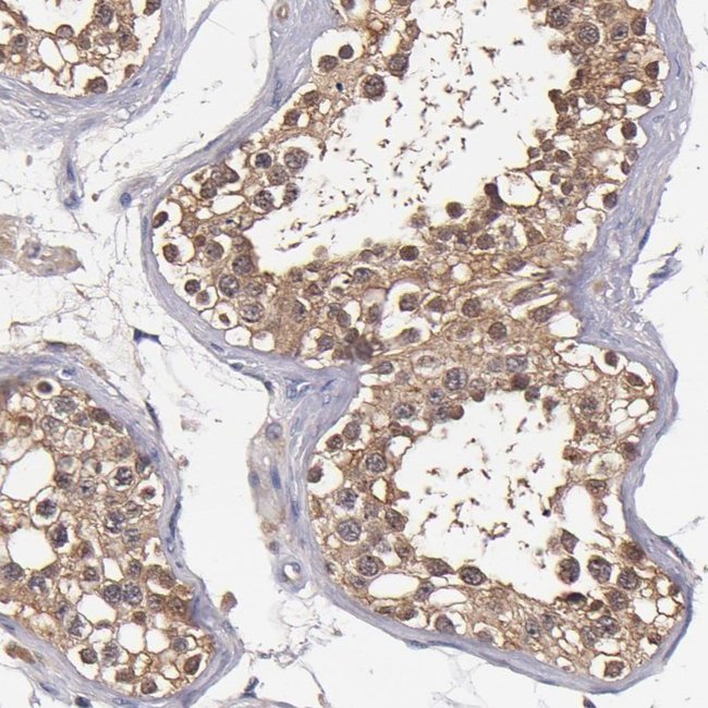
Invitrogen™ TTLL12 Polyclonal Antibody

Rabbit Polyclonal Antibody
Supplier: Invitrogen™ PA551810
Description
Immunogen sequence: DYEKHFTVMN YDPDVVLKQV HCEEFIPEFE KQYPEFPWTD VQAEIFRAFT ELFQVACAKP PPLGLCDYPS SRAMYAVDLM LKWDNGPDGR RVMQPQILEV NFNPDCERAC RYHPTFFNDV FSTLFLDQPG Highest antigen sequence identity to the following orthologs: Mouse - 89%, Rat - 85%.
TTLL12 (tubulin tyrosine ligase-like family, member 12) is a 644 amino acid protein that contains one TTL domain. Of the fourteen members of the TTLL family that modify tubulin, TTLL12 is the least characterized member. TTLL12 is highly expressed in a multitude of metastatic prostate cancer cell lines, therefore, it is considered a target for tumor therapy. Overexpression of TTLL12 is suggested to alter chromosome ploidy, whereas downregulation of TTLL12 influence several post-translational modifications of tubulin.
Specifications
TTLL12 | |
Polyclonal | |
Unconjugated | |
TTLL12 | |
BC055368; D430005B17; dJ526I14.2; Inactive tubulin--tyrosine ligase-like protein 12; KIAA0153; RGD1305319; TTL domain protein; ttll12; tubulin tyrosine ligase like 12; tubulin tyrosine ligase-like family member 12; tubulin tyrosine ligase-like family, member 12; tubulin--tyrosine ligase-like protein 12 | |
Rabbit | |
Antigen Affinity Chromatography | |
RUO | |
23170 | |
Store at 4°C short term. For long term storage, store at -20°C, avoiding freeze/thaw cycles. | |
Liquid |
Immunohistochemistry (Paraffin), Immunocytochemistry | |
0.1 mg/mL | |
PBS with 40% glycerol and 0.02% sodium azide; pH 7.2 | |
Q14166 | |
TTLL12 | |
Recombinant protein corresponding to Human TTLL12. Recombinant protein control fragment (Product #RP-91500). | |
100 μL | |
Primary | |
Human | |
Antibody | |
IgG |
Safety and Handling
WARNING: Cancer - www.P65Warnings.ca.gov
Product Content Correction
Your input is important to us. Please complete this form to provide feedback related to the content on this product.
Product Title
Spot an opportunity for improvement?Share a Content Correction