Promotional price valid on web orders only. Your contract pricing may differ. Interested in signing up for a dedicated account number?
Learn More
Learn More
Invitrogen™ TWEAK Polyclonal Antibody

Rabbit Polyclonal Antibody
Supplier: Invitrogen™ PA520211
Description
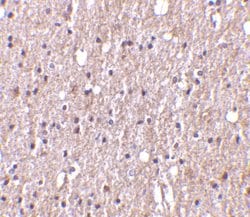
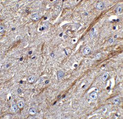
A suggested positive control is human brain tissue lysate.
TNF-related weak inducer of apoptosis (TWEAK) is a member of the tumor necrosis factor superfamily (TNFSF) of structurally related cytokines. Like most other members of this family, TWEAK is a cell surface-associated type II transmembrane protein although a smaller, biologically active form can also be generated by cleavage near the cell membrane. TWEAK has multiple biological activities, including stimulation of cell growth and angiogenesis, induction of inflammatory cytokines, in addition to stimulation of apoptosis. The TWEAK signal transduction pathway has not been well established but it appears to signal via TweakR/Fn14 in a manner similar to that described for other TNFSF members that bind receptors lacking death domains.
Specifications
| TWEAK | |
| Polyclonal | |
| Unconjugated | |
| Tnfsf12 | |
| APO3 ligand; APO3/DR3 ligand; APO3L; Dr3l; Dr3lg; LOW QUALITY PROTEIN: tumor necrosis factor ligand superfamily member 12; MGC129581; MGC20669; TNF superfamily member 12; TNF-related weak inducer of apoptosis; TNFSF12; TNLG4A; tumor necrosis factor (ligand) superfamily member 12; tumor necrosis factor (ligand) superfamily, member 12; tumor necrosis factor ligand 4A; tumor necrosis factor ligand superfamily member 12; Tumor necrosis factor ligand superfamily member 12, membrane form; Tumor necrosis factor ligand superfamily member 12, secreted form; tumor necrosis factor superfamily member 12; TWEAK; UNQ181/PRO207; zgc:153941 | |
| Rabbit | |
| Protein A | |
| RUO | |
| 21944, 8742 | |
| Maintain refrigerated at 2-8°C for up to 3 months. For long term storage store at -20°C | |
| Liquid |
| Immunohistochemistry (Paraffin), Immunohistochemistry (PFA fixed), Western Blot | |
| 1 mg/mL | |
| PBS with 0.02% sodium azide | |
| O43508, O54907 | |
| Tnfsf12 | |
| recombinant human TWEAK. | |
| 100 μg | |
| Primary | |
| Human, Mouse | |
| Antibody | |
| IgG |
Product Content Correction
Your input is important to us. Please complete this form to provide feedback related to the content on this product.
Product Title
Spot an opportunity for improvement?Share a Content Correction