Promotional price valid on web orders only. Your contract pricing may differ. Interested in signing up for a dedicated account number?
Learn More
Learn More
Invitrogen™ TXNL1 Polyclonal Antibody

Rabbit Polyclonal Antibody
Supplier: Invitrogen™ PA551749
Description
Immunogen sequence: LLLQFQSQWR RGHPAGLSVR MVGVKPVGSD PDFQPELSGA GSRLAVVKFT MRGCGPCLRI APAFSSMSNK YPQAVFLEVD VHQCQGTAAT NNISATPTFL FFRNKVRIDQ YQGADAVGLE EKIKQHLEND PGSNEDTDIP KG Highest antigen sequence identity to the following orthologs: Mouse - 85%, Rat - 86%.
Thioredoxins are a group of small redox active proteins possessing a conserved active site sequence. TrxL (Thioredoxin like protein 1) has 2 distinct domains: an N terminal domain, which is 43% identical to human TXN, and a C terminal domain, which shows no homology to other proteins in the sequence databases. The active site sequence, located within the N terminal domain, is that of a thioredoxin like protein; compared to the active site sequence of TXN, it has a single amino acid substitution. Unlike other thioredoxin like proteins, TrxL does not serve as a substrate for thioredoxin reductase in an insulin assay.
Specifications
| TXNL1 | |
| Polyclonal | |
| Unconjugated | |
| Txnl1 | |
| 32 kDa thioredoxin-related protein; 32kDa; epididymis secretory protein Li 114; HEL-S-114; thioredoxin like 1; thioredoxin-like (32kD); thioredoxin-like 1; thioredoxin-like protein 1; thioredoxin-related 32 kDa protein; thioredoxin-related protein; thioredoxin-related protein 1; Trp; TRP32; TXL; TXL-1; Txnl; TXNL1 | |
| Rabbit | |
| Antigen affinity chromatography | |
| RUO | |
| 9352 | |
| Store at 4°C short term. For long term storage, store at -20°C, avoiding freeze/thaw cycles. | |
| Liquid |
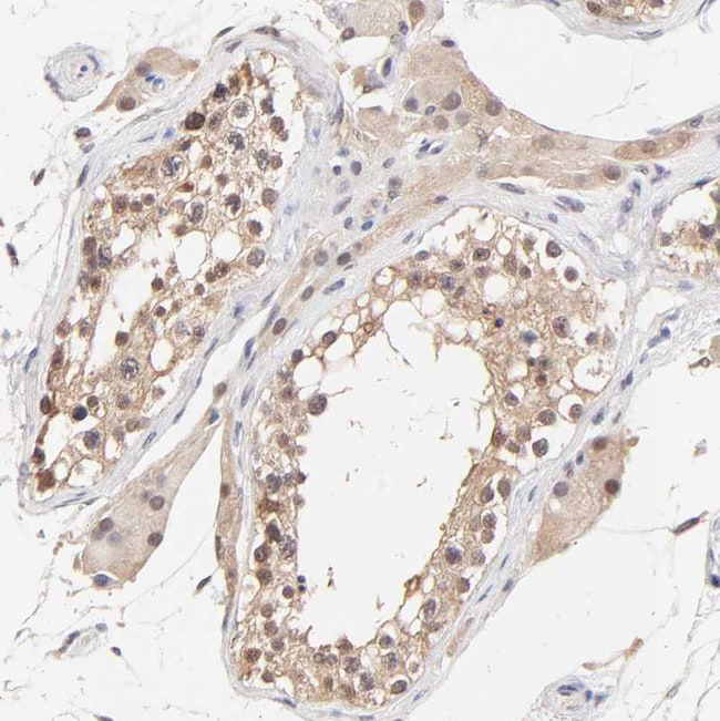
| Immunohistochemistry (Paraffin), Western Blot | |
| 0.05 mg/mL | |
| PBS with 40% glycerol and 0.02% sodium azide; pH 7.2 | |
| O43396 | |
| Txnl1 | |
| Recombinant protein corresponding to Human TXNL1. Recombinant protein control fragment (Product #RP-101858). | |
| 100 μL | |
| Primary | |
| Human | |
| Antibody | |
| IgG |
Safety and Handling
WARNING: Cancer - www.P65Warnings.ca.gov
Product Content Correction
Your input is important to us. Please complete this form to provide feedback related to the content on this product.
Product Title
Spot an opportunity for improvement?Share a Content Correction