Promotional price valid on web orders only. Your contract pricing may differ. Interested in signing up for a dedicated account number?
Learn More
Learn More
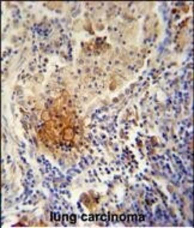
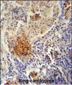
Invitrogen™ TYROBP Polyclonal Antibody

Rabbit Polyclonal Antibody
Supplier: Invitrogen™ PA526861
Description
This antibody is predicted to react with bovine based on sequence homology.
DAP12 is a transmembrane adaptor protein that is non-covalently associated with several cell surface receptors on natural killer (NK), myeloid, and presumably neuronal cells. DAP12 contains an ITAM domain that preferentially recruits the protein tyrosine kinase Syk to initiate signal transduction. Deficiency of DAP12 results in reduced antigen presentation function by myeloid cells and defects in function of certain NK cell receptors in mice, as well as presenile dementia and bone cysts in humans.
Specifications
TYROBP | |
Polyclonal | |
Unconjugated | |
TYROBP | |
DAP12; DNAX-activation protein 12; KARAP; KAR-associated protein; killer cell activating receptor associated protein; killer cell activating receptor-associated protein; killer-activating receptor-associated protein; Ly83; PLOSL; TYRO protein tyrosine kinase binding protein; TYRO protein tyrosine kinase-binding protein; Tyrobp | |
Rabbit | |
Antigen Affinity Chromatography, Protein A | |
RUO | |
7305 | |
Store at 4°C short term. For long term storage, store at -20°C, avoiding freeze/thaw cycles. | |
Liquid |
Flow Cytometry, Immunohistochemistry (Paraffin), Western Blot | |
0.5 mg/mL | |
PBS with 0.09% sodium azide; pH 7.4 | |
O43914 | |
TYROBP | |
KLH conjugated synthetic peptide between 85-113 amino acids from the C-terminal region of human TYROBP. | |
400 μL | |
Primary | |
Human | |
Antibody | |
IgG |
Safety and Handling
WARNING: Cancer - www.P65Warnings.ca.gov
Product Content Correction
Your input is important to us. Please complete this form to provide feedback related to the content on this product.
Product Title
Spot an opportunity for improvement?Share a Content Correction