Promotional price valid on web orders only. Your contract pricing may differ. Interested in signing up for a dedicated account number?
Learn More
Learn More
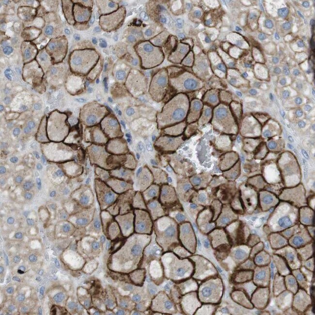
Invitrogen™ TYW1 Polyclonal Antibody

Rabbit Polyclonal Antibody
Supplier: Invitrogen™ PA553316
Description
Immunogen sequence: RRAMITPALR EALTKQGYQL IGSHSGVKLC RWTKSMLRGR GGCYKHTFYG IESHRCMETT PSLACANKCV FCWRHHTNPV GTEWRWKMDQ PEMILKEAIE NHQNMIKQFK GVPGVKA Highest antigen sequence identity to the following orthologs: Mouse - 97%, Rat - 96%.
TYW1, also known as TYW1A, RSAFD1 or YPL207W, is a 732 amino acid protein containing one flavodoxin-like domain that participates in the wybutosine-tRNA (Phe) biosynthesis pathway. Wybutosine (yW) is a hypermodified guanosine at the 3-prime position adjacent to the anticodon of phenylalanine tRNA that stabilizes codon-anticodon interactions during decoding on the ribosome. TYW1 is involved in a multistep enzymatic reaction that stabilizes codon-anticodon base-pairing during the ribosomal decoding process, thereby ensuring correct translation. TYW1 binds to one 4Fe-4S cluster and is located on human chromosome 7. Defects in some of the genes on chromosome 7 have been linked to Osteogenesis imperfecta, Williams-Beuren syndrome, Lissencephaly, Citrullinemia and Shwachman-Diamond syndrome, suggesting that TYW1 may play a role in these conditions.
Specifications
TYW1 | |
Polyclonal | |
Unconjugated | |
TYW1 | |
Radical S-adenosyl methionine and flavodoxin domain-containing protein 1; radical S-adenosyl methionine and flavodoxin domains 1; RGD1310420; RSAFD1; S-adenosyl-L-methionine-dependent tRNA 4-demethylwyosine synthase; S-adenosyl-L-methionine-dependent tRNA 4-demethylwyosine synthase TYW1; tRNA wybutosine-synthesizing protein 1 homolog; tRNA-yW synthesizing protein 1 homolog; tRNA-yW synthesizing protein 1 homolog (S. cerevisiae); tRNA-yW synthesizing protein 1 homolog A; tRNA-yW-synthesizing protein; TYW1; TYW1A; YPL207W | |
Rabbit | |
Antigen affinity chromatography | |
RUO | |
55253 | |
Store at 4°C short term. For long term storage, store at -20°C, avoiding freeze/thaw cycles. | |
Liquid |
Immunohistochemistry (Paraffin), Western Blot | |
0.05 mg/mL | |
PBS with 40% glycerol and 0.02% sodium azide; pH 7.2 | |
Q9NV66 | |
TYW1 | |
Recombinant protein corresponding to Human TYW1. Recombinant protein control fragment (Product #RP-90614). | |
100 μL | |
Primary | |
Human | |
Antibody | |
IgG |
Product Content Correction
Your input is important to us. Please complete this form to provide feedback related to the content on this product.
Product Title
Spot an opportunity for improvement?Share a Content Correction