Promotional price valid on web orders only. Your contract pricing may differ. Interested in signing up for a dedicated account number?
Learn More
Learn More
Invitrogen™ UAP56 Polyclonal Antibody

Rabbit Polyclonal Antibody
Supplier: Invitrogen™ PA5119802
This item is not returnable.
View return policy
Description
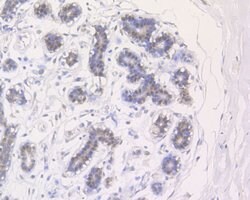
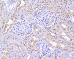
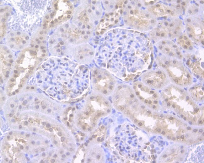
Positive Control: 293 cell lysate, Hela cell lysate, rat bladder tissue, rat kidney tissue, human breast tissue, human esophagus tissue, mouse testis tissue. Subcellular Location: Cytoplasm, Nucleus, Spliceosome.
This gene encodes a member of the DEAD box family of RNA-dependent ATPases that mediate ATP hydrolysis during pre-mRNA splicing. The encoded protein is an essential splicing factor required for association of U2 small nuclear ribonucleoprotein with pre-mRNA, and also plays an important role in mRNA export from the nucleus to the cytoplasm. A cluster of genes, BAT1-BAT5, is localized in the vicinity of the genes for TNF alpha and TNF beta. These genes are all within the human major histocompatibility complex class III region. Mutations in this gene may be associated with rheumatoid arthritis. Alternatively spliced transcript variants encoding the same protein have been described.
Specifications
| UAP56 | |
| Polyclonal | |
| Unconjugated | |
| DDX39B | |
| 0610030D10Rik; 56 kDa U2AF65-associated protein; AI428441; ATP-dependent RNA helicase p47; Bat1; Bat-1; Bat1a; D17H6S81E; D17H6S81E-1; D20H6S81e; D6S81E; D6S81Eh; Ddx39b; DEAD (Asp-Glu-Ala-Asp) box polypeptide 39B; DEAD box protein UAP56; DEAD-box helicase 39B; DExD-box helicase 39B; HLA-B associated transcript 1; HLA-B associated transcript 1A; HLA-B-associated transcript 1 protein; HLA-B-associated transcript 1A; Nuclear RNA helicase; nuclear RNA helicase (DEAD family); nuclear RNA helicase Bat1; p47; spliceosome RNA helicase BAT1; spliceosome RNA helicase DDX39B; Uap56 | |
| Rabbit | |
| Antigen affinity chromatography | |
| RUO | |
| 114612, 53817, 7919 | |
| Store at 4°C short term. For long term storage, store at -20°C, avoiding freeze/thaw cycles. | |
| Liquid |
| Immunohistochemistry (Paraffin), Western Blot | |
| 1 mg/mL | |
| TBS with 0.2% BSA, 50% glycerol and 0.05% sodium azide; pH 7.4 | |
| Q13838, Q63413, Q9Z1N5 | |
| DDX39B | |
| Recombinant protein within human UAP56 aa 100-300. | |
| 100 μL | |
| Primary | |
| Human, Mouse, Rat | |
| Antibody | |
| IgG |
Product Content Correction
Your input is important to us. Please complete this form to provide feedback related to the content on this product.
Product Title
Spot an opportunity for improvement?Share a Content Correction