Promotional price valid on web orders only. Your contract pricing may differ. Interested in signing up for a dedicated account number?
Learn More
Learn More
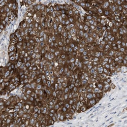
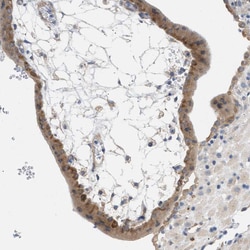
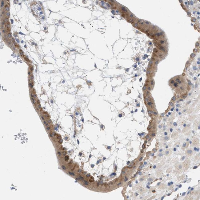
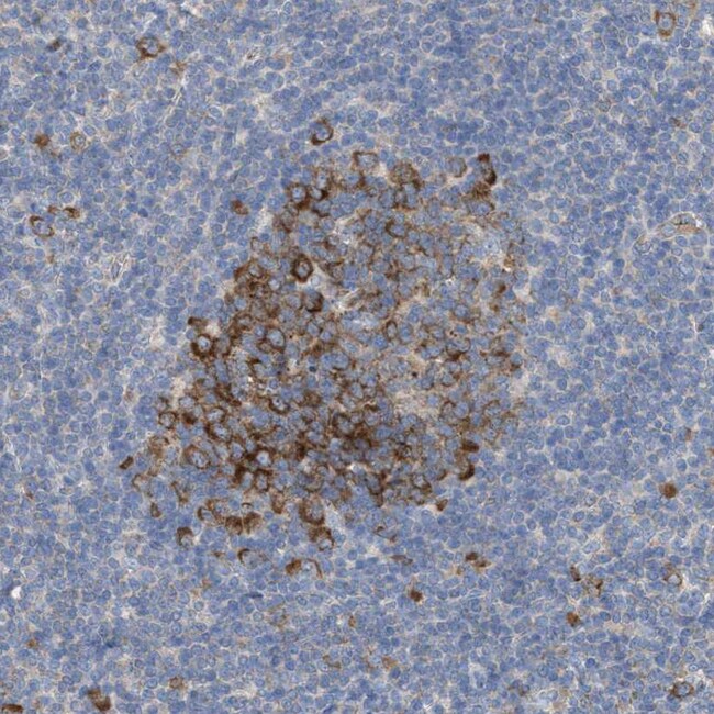
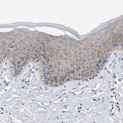
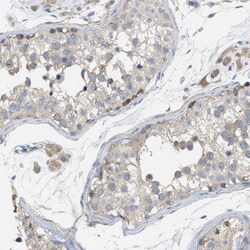
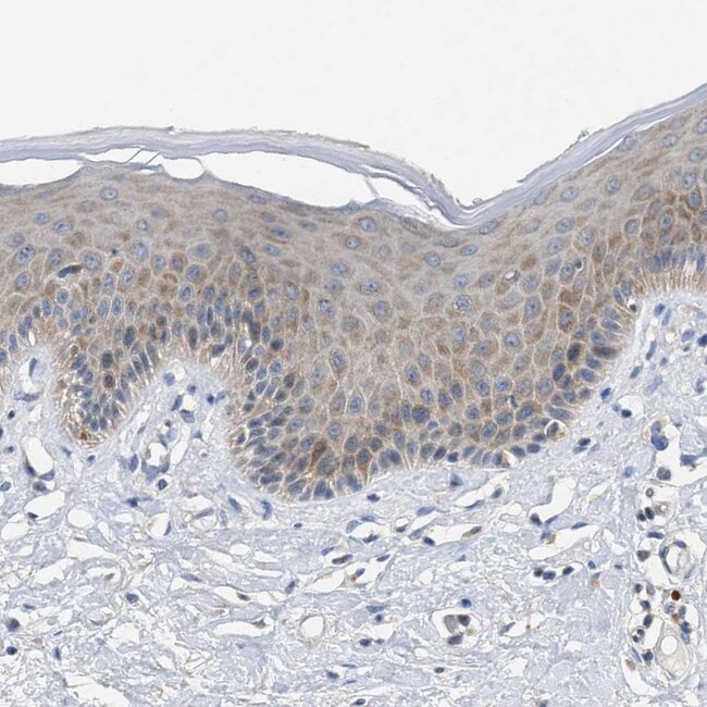
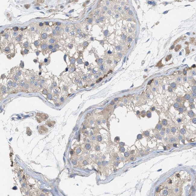
UBAP2 Polyclonal Antibody

UBAP2 Polyclonal Antibody
Supplier: Thermo Scientific PA554496
Description
UBAP2 Polyclonal Antibody for ICC/IF, IHC

Specifications
UBAP2 | |
Polyclonal | |
Unconjugated | |
UBAP2 | |
1190005K07Rik; AA408600; AD-012 protein; AU045235; KIAA1491; Lig1; mKIAA1491; mLig-1; protein lingerer homolog 1; ubap2; UBAP-2; ubiquitin associated protein 2; ubiquitin-associated protein 2 | |
Rabbit | |
Antigen Affinity Chromatography | |
RUO | |
55833 | |
Store at 4°C short term. For long term storage, store at -20°C, avoiding freeze/thaw cycles. | |
Liquid |
Immunohistochemistry (Paraffin), Immunocytochemistry | |
0.20 mg/mL | |
PBS with 40% glycerol and 0.02% sodium azide; pH 7.2 | |
Q5T6F2 | |
UBAP2 | |
Recombinant protein corresponding to Human UBAP2. Recombinant protein control fragment (Product #RP-92985). | |
100 μL | |
Primary | |
Human | |
Antibody | |
IgG |
Product Content Correction
Your input is important to us. Please complete this form to provide feedback related to the content on this product.
Product Title
Spot an opportunity for improvement?Share a Content Correction