Learn More
UBE2J1 Mouse anti-Canine, Human, Mouse, Rat, Clone: OTI3D1, lyophilized, TrueMAB™

Mouse Monoclonal Antibody
Supplier: OriGene CF504988
Description
Reconstitute with PBS (pH 7.3) and recommend to perform another round of desalting process using Product No. 7KMWCO
The modification of proteins with ubiquitin is an important cellular mechanism for targeting abnormal or short-lived proteins for degradation. Ubiquitination involves at least three classes of enzymes: ubiquitin-activating enzymes, or E1s, ubiquitin-conjugating enzymes, or E2s, and ubiquitin-protein ligases, or E3s. This gene encodes a member of the E2 ubiquitin-conjugating enzyme family. This enzyme is located in the membrane of the endoplasmic reticulum and may contribute to quality control ER-associated degradation by the ubiquitin-proteasome system.Specifications
| UBE2J1 | |
| Monoclonal | |
| Unconjugated | |
| UBE2J1 | |
| CGI-76, HSPC153, HSPC205, HSU93243, NCUBE-1, NCUBE1, UBC6, UBC6E, Ubc6p | |
| Mouse | |
| Affinity Chromatography | |
| RUO | |
| 297961, 474993, 51465, 56228 | |
| -20° C, Avoid Freeze/Thaw Cycles | |
| Lyophilized |
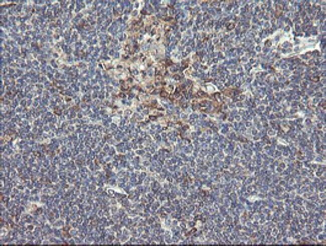
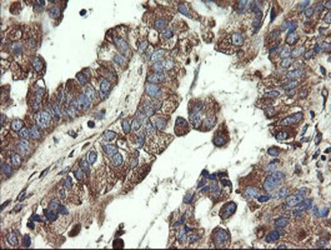
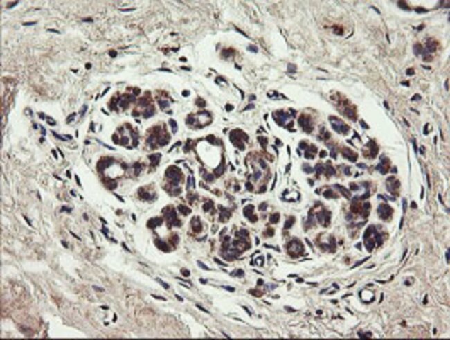
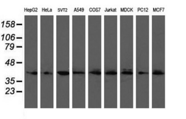
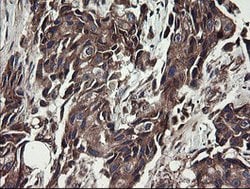
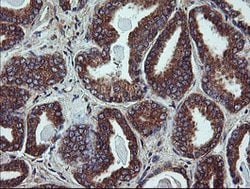
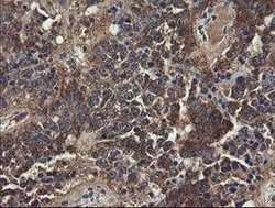
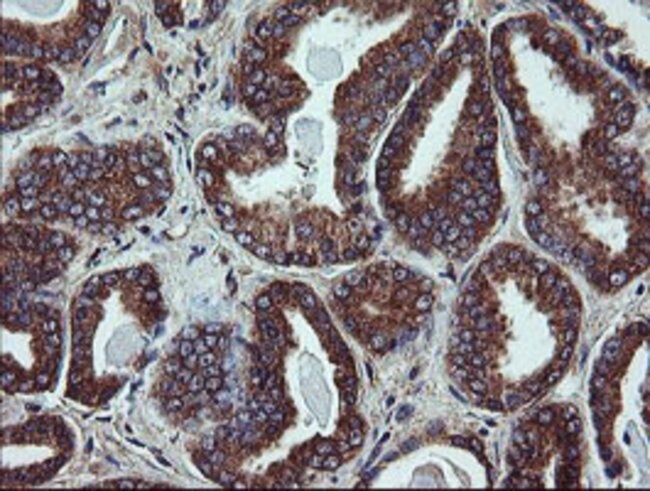
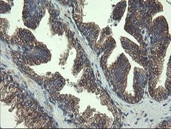
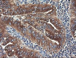
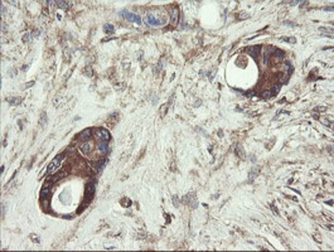
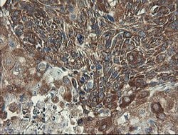
| Flow Cytometry, Immunohistochemistry (Paraffin), Western Blot | |
| OTI3D1 | |
| PBS with 8% trehalose and no preservative; pH 7.3 | |
| Q9JJZ4, Q9Y385 | |
| UBE2J1 | |
| Full length human recombit protein of human UBE2J1 produced in HEK293T cell. | |
| 100 μg | |
| Primary | |
| Canine, Human, Mouse, Rat | |
| Antibody | |
| IgG2a |
The Fisher Scientific Encompass Program offers items which are not part of our distribution portfolio. These products typically do not have pictures or detailed descriptions. However, we are committed to improving your shopping experience. Please use the form below to provide feedback related to the content on this product.