Learn More
Invitrogen™ UBE2U Polyclonal Antibody

Rabbit Polyclonal Antibody
Supplier: Invitrogen™ PA5110539
Description
Immunogen sequence: MHGRAYLLLH RDFCDLKENN YKGITAKPVS EDMMEWEVEI EGLQNSVWQG LVFQLTIHFT SEYNYAPPVV KFITIPFHPN VDPHTGQPCI DFLDNPEKWN TNYTLSSILL ALQVMLSNPV LENPVNLEAA RILVKDESLY RTILRLFNRP LQMKDDSQEL PKDPRKCIRP IKTTSFSDYY QTWSRIATSK ATEYYRTPLL KVPNFIGQYY KWKKMDLQHQ KEWNLK.
The ubiquitin (Ub) pathway involves three sequential enzymatic steps that facilitate the conjugation of Ub and Ub-like molecules to specific protein substrates. The first step requires ATP-dependent activation of the Ub C-terminus and assembly of multi-Ub chains by a Ub-activating enzyme known as the E1 component. The Ub chain is then conjugated to the Ub-conjugating enzyme (E2) to generate an intermediate Ub-E2 complex. The Ub-ligase (E3) then catalyzes the transfer of Ub from E2 to the appropriate protein substrate. UBE2U (ubiquitin-conjugating enzyme E2U) is a 321 amino acid E2 ubiquitin conjugating enzyme that catalyzes the covalent attachment of ubiquitin to other proteins. Existing as two alternatively spliced isoforms, UBE2U is encoded by a gene located on human chromosome 1, which spans 260 million base pairs, contains over 3,000 genes and comprises nearly 8% of the human genome.
Specifications
| UBE2U | |
| Polyclonal | |
| Unconjugated | |
| UBE2U | |
| E2 ubiquitin-conjugating enzyme U; MGC35130; RP4-636O23.1; testicular tissue protein Li 216; UBE2U; Ubiquitin carrier protein U; ubiquitin conjugating enzyme E2 U (putative); ubiquitin conjugating enzyme E2U (putative); ubiquitin-conjugating enzyme E2 U; ubiquitin-conjugating enzyme E2U (putative); ubiquitin-protein ligase U | |
| Rabbit | |
| Affinity Chromatography | |
| RUO | |
| 148581, 381534 | |
| -20°C, Avoid Freeze/Thaw Cycles | |
| Liquid |
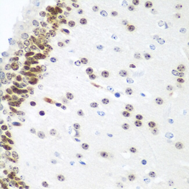
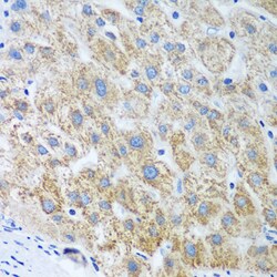
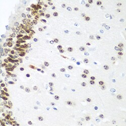
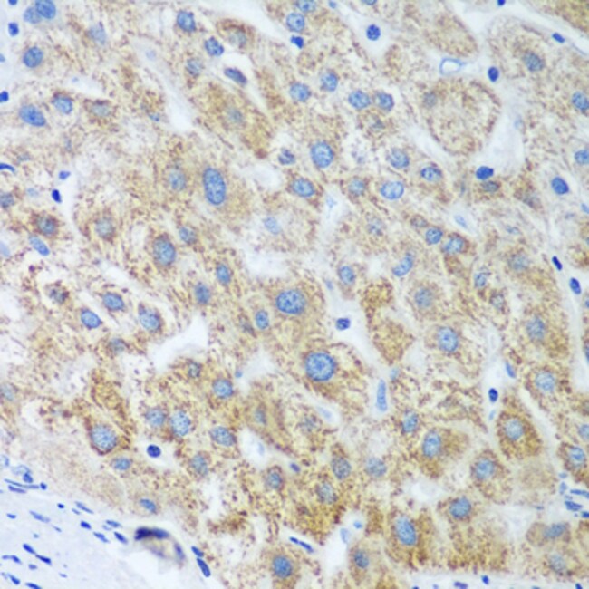
| ELISA, Immunohistochemistry (Paraffin), Western Blot | |
| 0.45 mg/mL | |
| PBS with 50% glycerol and 0.02% sodium azide; pH 7.3 | |
| Q5VVX9 | |
| UBE2U | |
| Recombinant fusion protein containing a sequence corresponding to amino acids 1-226 of human UBE2U (NP_689702.1). | |
| 100 μL | |
| Primary | |
| Human, Mouse | |
| Antibody | |
| IgG |
Your input is important to us. Please complete this form to provide feedback related to the content on this product.